2025, 34(5):943-955. DOI: 10.12024/jsou.20250404821
摘要:上海地处长江下游入海口,是我国重要的通商口岸,同时具有发达的水产养殖产业。因此,引进上海地区的外来鱼类在其自然水体中存在的种类、分布和入侵风险等值得进行系统调查。本研究于春秋两季通过环境DNA宏条形码技术(eDNA Metabarcoding)对上海地区82个点位进行了外来鱼类调查,共检出了7种外来鱼类。对调查到的外来鱼类采用水生生物入侵筛查工具(Freshwater fish invasiveness screening kit,AS-ISK)进行入侵风险评估,并使用Maxent模型结合气候数据及分布点位进行外来鱼类适生区预测。AS-ISK评估结果表明,食蚊鱼(Gambusia affinis)、大口黑鲈(Micropterus salmoides)、斑点叉尾(Ictalurus punctatus)具有较高的入侵风险(BRA>42.5);而匙吻鲟(Polyodon spathula)和麦瑞加拉鲮(Cirrhinus mrigala)的入侵风险较低(BRA<40)。结合未来气候变化后,仅有麦瑞加拉鲮的入侵风险由低变为高(BRA+CCA>47.5),其余物种的入侵风险等级不变。MaxEnt模型适生区预测结果表明,黄浦江下游入海口附近区域对本次检出的外来鱼类总体来说具有较大的适生区面积,而麦瑞加拉鲮在上海西部的淀山湖具有较大的适生区面积。本调查还监测到尼罗罗非鱼和云斑尖塘鳢,因其不耐低温无法在上海越冬而不做入侵风险评估及适生区分析。及时掌握自然水体中外来鱼类的种类和分布是防范生物入侵的重要前提,而环境DNA技术为开展外来鱼类、高入侵风险鱼类监测提供了一种低成本、高效率、可持续的技术支持。
2025, 34(5):956-967. DOI: 10.12024/jsou.20250404857
摘要:为了满足塔玛亚历山大藻(Alexandrium tamarense)在野外环境中快速检测的需求,以塔玛亚历山大藻内转录间隔区(Internal transcribed spacer, ITS)序列为靶标,设计了特异性引物和探针,将重组酶聚合酶扩增技术(Recombinase polymerase amplification, RPA)与横向流动试纸条(Lateral flow dipstick, LFD)相结合(RPA-LFD),实现了扩增结果的可视化。结果显示,RPA最佳反应条件为42 ℃、15 min,LFD检测时间为3 min。研究结果表明,基于RPA-LFD技术开发的塔玛亚历山大藻检测方法具有高度特异性,与常见藻类无交叉反应,能够特异性检出塔玛亚历山大藻。该方法对塔玛亚历山大藻质粒和细胞的检出限分别达到1 copies/μL和1 cells/L,较常规PCR提高了2个数量级。从特异性、灵敏度、便携性及时效性等方面综合评估,该方法可为实现塔玛亚历山大藻藻华的早期预警以及提升口岸对物种入侵的检测效率提供支持。
2025, 34(5):968-977. DOI: 10.12024/jsou.20250804913
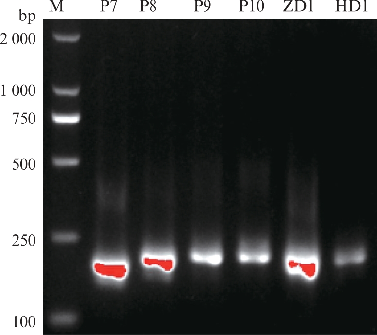
摘要:大薸(Pistia stratiotes L.)作为我国淡水生态系统中危害严重的外来入侵植物,其快速扩散已对水域生态安全构成重大威胁。为实现该物种的早期监测与防控,基于环境DNA(eDNA)技术开发了一套高灵敏度、高特异性的检测体系。通过整合k-mer索引策略与叶绿体基因组比对分析,设计出4组大薸特异性多重PCR引物(PS_7、PS_8、PS_9、PS_10),实验验证结果表明:(1)各单引物及其组合在组织样本、养殖水样和自然水样中均能高效扩增目标DNA;(2)单个引物PS_7和PS_10的检测限均达0.69 ×10-2 ng/μL;PS_8和PS_9的检测限分别为0.34×10-1 ng/μL和0.17 ng/μL;多重PCR体系的检测限达1.1×10-5 ng/μL,较最佳单引物灵敏度提升约625倍(P<0.01);(3)特异性测试显示,该引物组与紫萍(Spirodela polyrhiza)等近缘物种无交叉反应。该多重PCR体系可在3 h内完成检测分析。本研究建立的检测体系为大薸入侵的早期预警与监测提供了可靠技术支撑,并为水生入侵植物的eDNA快速检测方法开发提供了实践范例。
2025, 34(5):978-994. DOI: 10.12024/jsou.20250304816
摘要:随着气候变化、国际贸易和人类活动日益打破海洋中的传统地理阻隔,外来物种(NIS)已成功地在其原生地外建立种群。外来物种的暴发可能对当地生态系统和经济构成重大威胁,使其成为海洋生物多样性和生物安全的关键问题。海洋栖息地的生物入侵与陆地或淡水中的入侵存在显著差异。由于在暴发初期存在采样困难、形态学鉴定不易以及难以目击发现等问题,在海洋环境检测和识别外来物种尤其具有挑战性。环境DNA(eDNA)方法在海洋外来物种引入阶段已成为可靠且经济高效的定性与定量检测方法。本综述总结了基于eDNA的海洋外来物种检测的最新应用与进展。海洋物种eDNA采样设备的创新开发、检测方法的提升以及参考基因组数据库的进一步完善,对于该领域未来的发展至关重要。
2025, 34(5):995-1004. DOI: 10.12024/jsou.20250404840
摘要:在贸易全球化与运输网络不断扩展的背景下,外来物种入侵问题日益加剧,威胁水生生态健康并造成巨大经济损失。相较于陆生生物入侵,水生生物入侵的研究起步较晚,且相关入侵机制及其影响因素的系统梳理尚显薄弱。本研究基于近十年水生生物入侵机制及影响因素的研究成果,从竞争优势、生态位占据、种间互作、化学入侵和天敌释放5方面,系统归纳了当前水生生物入侵的主要机制。从环境变化(包括气候变化、水文条件和环境污染)及其他干扰两方面总结了关键影响因素,揭示机制之间的交互关系与影响因素的多样性。并展望了未来水生生物入侵领域在机制识别、预测模型构建以及多元治理策略规划方面的发展方向,旨在为深入理解水生生物入侵的成因与演化路径,提升水生生态系统入侵管理的科学性提供参考依据。
2025, 34(5):1005-1016. DOI: 10.12024/jsou.20250804914
摘要:通过实地采样等手段,对广西内陆水系外来鱼类的种类和分布开展了深入的研究,研究结果表明:广西内陆水域共记录外来鱼类23种,隶属于7目13科20属,其中鲈形目(9种)和鲤形目(5种)是主要类群。水产养殖引种是外来鱼类引入的首要途径,涉及种类占比高达82.61%。齐氏罗非鱼(Coptodon zillii)与尼罗罗非鱼(Oreochromis niloticus)已成为绝对优势种,分布范围覆盖几乎全部调查样点。13种鱼类已形成入侵,4种处于建群阶段。空间分布上,“北齐南尼”南北地理分异,源于齐氏罗非鱼对低温更强的适应性与高繁殖力;干支流差异格局,红水河(16种)等干流物种数远高于上游支流。水电站建设造成的静水环境显著改变了本土鱼类的生境,为适应静水环境的外来鱼类提供了扩张的“生态位机会”。需构建“源头预防、监测预警、控制清除、公众参与”的四位一体化防控策略体系。本研究可为广西乃至我国南方地区的水域生态安全保障和生物多样性保护提供科学依据和决策参考。
2025, 34(5):1017-1028. DOI: 10.12024/jsou.20241204739
摘要:为了评估中国龟鳖市场中外来种的现状及其生态风险,并提出科学防控策略。通过文献调研和数据分析,系统梳理中国龟鳖目外来种的引入历史、种类组成、区域分布特征及市场贸易数据,结合生态风险评估,分析其对本土物种和生态系统的潜在影响。结果显示,中国现有龟鳖目动物6科22属40种,但市场中外来种占比高达75%(土著种的3倍),主要集中于华南、华东地区;外来种入侵导致本土物种生存空间压缩、养殖模式集约化,并显著增加生物入侵和疫病传播风险。研究表明,中国龟鳖外来种市场规模大、生态风险突出,需建立差异化管控体系。本研究可为制定龟鳖引种规范、优化入侵物种防控策略及促进龟鳖产业的健康发展提供参考。
2025, 34(5):1029-1038. DOI: 10.12024/jsou.20250404824
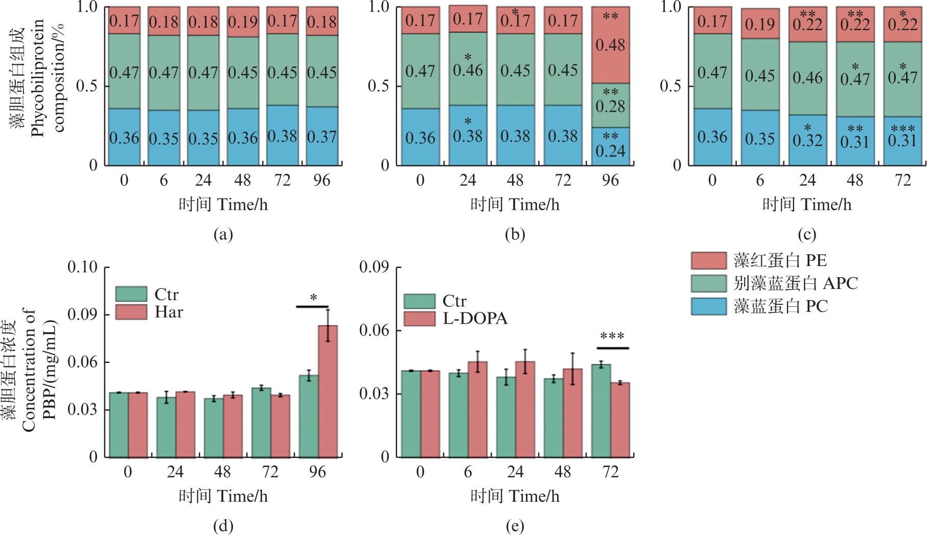
摘要:全球气候变暖促使入侵蓝藻拉氏尖头藻(Raphidiopsis raciborskii)向高纬度水体扩张,而目前针对该物种的防治技术研究仍较为有限。评估了两种氨基酸类似物左旋多巴(L-3,4-dihydroxyphenylalanine,L-DOPA)和高精氨酸(Homoarginine,Har)对拉氏尖头藻的抑藻效果,探究了拉氏尖头藻细胞在两种化合物处理后的生理响应。结果显示,两种氨基酸类似物均导致藻细胞内活性氧(ROS)显著富集,L-DOPA组中ROS富集程度高于Har组;均造成藻细胞内光合系统损伤。L-DOPA对光反应中心、电子传递链及叶绿素a(Chl.a)造成破坏,藻胆蛋白(PBP)含量显著降低,别藻蓝蛋白(APC)及藻红蛋白(PE)占比显著增加,藻丝断裂成极小片段(平均长度为对照组的9.70%),藻细胞大量损伤;Har引起藻细胞光反应中心、电子传递链损伤,PBP合成增加,PE占比显著增加,藻丝部分断裂(平均长度为对照组的22.33%),胞外聚合物(EPS)分泌显著增加。研究表明,L-DOPA及Har均对入侵蓝藻拉氏尖头藻具有抑制作用,L-DOPA抑藻活性高于Har,二者的作用方式可能存在差异,相关结果为研发新型蓝藻水华防治技术提供了重要基础数据。
2025, 34(5):1039-1048. DOI: 10.12024/jsou.20250404848
摘要:从经济、生态和社会影响3个维度构建外来水生生物入侵综合评价体系,采用分层随机抽样发放问卷,收集专家对水生生物入侵影响因素重要性的评价,并运用AHP层次分析法确定各指标权重。发现入侵经济影响(权重0.72)的重要性高于生态影响(权重0.17)和社会影响(权重0.11),排前五的影响因素依次为:直接经济损失(0.47)、生态位侵占(0.11)、管控成本(0.09)、清除费用(0.08)及公众辨识力(0.067)。对上海各区福寿螺(Pomacea canaliculata)入侵影响进行评分,百分位数高于50%的区域包括崇明(P99)、松江(P68)、金山(P64)、浦东(P61)和青浦(P53)。建议上海遵循“经济权重优先、生态敏感区覆盖、社会参与补位”的准则,实施分区、分级的差异化入侵防控策略。
2025, 34(5):1049-1057. DOI: 10.12024/jsou.20250604891
摘要:水生生物入侵已成为我国生态安全面临的主要威胁之一。水生生物入侵具有较强的隐蔽性和危害性,不仅容易导致水生态系统的破坏和退化,还给我国带来了巨大经济损失。本研究从水生生物入侵的法律规范视角出发,通过系统分析和梳理我国不同时期水生生物入侵防治的法律规范特征,将其法制发展历程划分为起步阶段、过渡阶段、稳步推进阶段和高质量发展阶段4个时期。目前,我国水生生物入侵防治法律规范建设已有长足发展,独具中国特色的防治法律体系基本建成,这为水生生物入侵防治奠定了坚实的法制基础。但需指出的是,法律体系建设仍处于发展阶段,缺乏专门的统一立法、法律秩序价值未充分实现、部门协同体系不完善以及归责及救济制度供给不足等问题仍旧突出。这些不足极大限制了我国水生生物入侵防控工作的效能,构成了防治法律规范建设的主要挑战。针对上述不足,提出在构建专门统一立法前提下,优化评估审批制度与协调管理机构、加强政府治理体系建设以及立法保障多元共治格局的措施,以实现我国水生生物入侵防治法律体系的完善。期望能为我国水生生态系统的保护和生物入侵防治提供一定借鉴。
2025, 34(5):1058-1068. DOI: 10.12024/jsou.20250404829
摘要:齐氏罗非鱼(Coptodon zillii)原产于西非、东非、北非及中东的部分地区。基于MaxEnt模型,结合该入侵物种在中国境内分布坐标及8个环境变量,预测了当前及未来气候变化情景下其在中国的适宜栖息地变化。结果显示,模型表现出优良的预测性能(AUC=0.84,TSS=0.6),识别出4个主要变量:最冷季度平均温度(Bio11)、年降水量(Bio12)、年温差(Bio7)和海拔高度(Bio20)。齐氏罗非鱼当前和未来适生区主要集中在中国长江以南大部分省份,在3种未来气候情景(SSP1、SSP2和SSP5)模式下展现出不同的变化趋势:在SSP5-8.5情景下适生区显著扩张,在SSP2-4.5情景下适生区适度增加,而在SSP1-2.6情景下适生区明显收缩。这表明严格减排(SSP1-2.6)可有效降低该物种的栖息地适宜性。本研究强调了气候政策在管理中国淡水生态系统生物入侵问题上的重要性。
2025, 34(5):1069-1079. DOI: 10.12024/jsou.20240904633
摘要:为评估产毒赤潮藻塔玛亚历山大藻 (Alexandrium tamarense) 对厚壳贻贝 (Mytilus coruscus) 幼贝的生态风险,选取平均壳长为 (18.40±2.04) mm的厚壳贻贝幼贝,探讨了分别暴露于塔玛亚历山大藻原液和无细胞滤液12 d内,幼贝死亡率、组织抗氧化和代谢相关酶活性的变化。实验设置对照组、藻原液组和无细胞滤液组3个组别,每隔48 h记录幼贝死亡情况,每隔96 h分别测定幼贝软体部超氧化物歧化酶 (SOD)、过氧化氢酶 (CAT)、谷丙转氨酶 (GPT)、碱性磷酸酶 (AKP) 及乙酰胆碱酯酶 (AChE) 的活性。结果显示,12 d时藻原液组和无细胞滤液组幼贝的校正累计死亡率分别为33.73%和15.66%。各处理组间的酶活性变化趋势存在差异,其中藻原液组幼贝的SOD、CAT、AKP和AChE活性总体呈上升趋势,而GPT活性先下降后升高;无细胞滤液组幼贝的AKP活性比较稳定,但连续暴露8 d时,SOD和AChE活性呈下降趋势,GPT和CAT则呈上升趋势,12 d时SOD和CAT活性下降,而GPT和AChE活性升高。第12天时,藻原液组幼贝5种酶的活性均显著高于对照组。主成分分析 (PCA) 表明,各生理指标间均呈正相关;综合生物标志物响应 (IBR) 指数法分析结果显示藻原液组IBR值与对照组差异较大,表明塔玛亚历山大藻原液对幼贝具有较高的毒性效应。研究表明,高于赤潮基准密度的塔玛亚历山大藻原液和无细胞滤液均会对厚壳贻贝幼贝的生存产生胁迫,诱导贻贝氧化应激反应,暴露初期抑制幼贝代谢功能。本研究为有毒赤潮爆发期间厚壳贻贝开展科学养殖提供参考。
刘洺源,隋长润,赵文煜,邱铸钧,范冲辉,张瑶,王俣晴,张倩,刘鹰
2025, 34(5):1080-1091. DOI: 10.12024/jsou.20241204742
摘要:小管福寿螺(Pomacea canaliculata)的入侵严重威胁本土物种的生存,破坏本土生态系统的功能。大型溞(Daphnia magna)繁殖迅速、具有体型可塑性、易于观察,常被用作评估环境风险研究的模式物种。本研究旨在分析小管福寿螺入侵对大型溞生活史、形态、抗氧化性能及其肠道微生物群落的影响,设置无螺对照组(Ctr)、本土中国圆田螺对照组(CC)、限制菌群的小管福寿螺组(LBPC)与小管福寿螺组(PC)。结果显示,小管福寿螺入侵促进大型溞生长及繁殖,并影响其生命周期。PC组大型溞的体长和尾刺长度显著降低(P <0.05),种群数量和产仔率显著升高(P<0.05),同时其抗氧化酶活性显著增强(P<0.05)。此外,大型溞的肠道微生物β多样性在PC组显著改变(P<0.05),并且肠道微生物预测通路向抗炎方向改变,代谢能力增强。而抑制小管福寿螺肠道内病原菌则会缓解其对大型溞在生长、繁殖及肠道微生物组成方面的间接胁迫作用。小管福寿螺通过非捕食性间接胁迫,显著影响大型溞的生理特征和肠道微生物群落,从而可能对本土的淡水生态系统造成潜在风险。本研究丰富了小管福寿螺与本土浮游动物的种间互作机理,对小管福寿螺生活史策略的揭示具有重要的意义。
邓阳阳,孙林鹤,刘芳宇,李韵涵,常雅军,刘晓静,崔键,姚东瑞
2025, 34(5):1092-1105. DOI: 10.12024/jsou.20241204748
摘要:探究不同地区入侵水生植物大薸(Pistia stratiotes L.)对气候和生境的适应性,为治理防控大薸入侵提供理论依据。利用MAXENT生态模型预测大薸在中国的潜在适生区域,对我国不同地区的大薸开展耐寒性、光照适应性及营养元素缺乏实验,评估其在不同气候与生境条件下的生理生态响应。最冷月最低温是影响大薸分布的主要气候因素。在5.0 ℃下持续胁迫48 h后,海南地区的大薸表现出显著的冻伤表型,置于常温环境中不能恢复生长,而江苏地区的大薸长势得以恢复。过氧化酶活性表明,江苏地区大薸能够更迅速地响应低温胁迫。经1个月的遮阴处理后,3个地区的大薸均表现出生长速率下降、叶绿素含量降低以及抗氧化酶活性上升等变化,且地区间无显著差异,表明大薸喜光照,对遮荫较为敏感。缺素实验表明,缺氮和缺磷处理可显著抑制大薸鲜重、叶数、叶宽、分株数,但是缺氮和缺磷胁迫对大薸的生长抑制无显著差异。温度、光照和氮磷元素是影响植物生长分布的主要因素,其中温度是影响大薸入侵、扩散和繁殖过程更为重要的因素,且北部地区大薸抗寒性显著高于南部地区大薸,说明大薸在我国入侵的过程中生态位有所拓宽,产生了对低温的适应性,如不加以防范,大薸存在继续向北扩张的可能性。
2025, 34(5):1106-1114. DOI: 10.12024/jsou.20241204746
摘要:基于长三角地区水产养殖尾水排放带来的水环境污染问题,对长三角生态绿色一体化发展示范区(吴江区、青浦区、嘉善县)内养殖池塘尾水污染特征进行了全面调查,并分析了“三池两坝”尾水处理系统对主要污染物总氮(TN)、总磷(TP)和高锰酸盐指数(CODMn)的去除效果。结果显示,示范区内养殖尾水整体处于中等污染水平,但不同区域养殖尾水中污染物浓度差异显著,总体呈现出嘉善县>吴江>青浦的现象。此外,针对不同品种的养殖尾水,其污染特征也表现出显著差异,爬行类养殖尾水中污染物浓度相对最高,以TN和CODMn为代表性污染物,蟹类养殖尾水中污染物浓度最低,但有部分CODMn超标。 “三池两坝”工艺对TN的去除率最高,尤其是沉淀池,CODMn次之,以沉淀池和生态池的去除效果较好,TP的去除率最低。综合以上养殖尾水污染特点以及“三池两坝”工艺污染物去除效率,提出以下尾水处理优化策略:对于爬行类,建议增加“三池两坝”工艺中沉淀池和生态池的容积,以针对性地提高TN和CODMn的去除效率;对于污染物浓度较低但波动较大的鱼虾类养殖尾水,保持现有工艺以确保污染物的达标排放;针对CODMn偶尔超标的蟹类养殖尾水,建议采用更为经济的沉淀池+过滤坝“一池一坝”处理工艺,专注于降低CODMn浓度。以上策略的实施预期可推动长三角示范区水产养殖业向绿色发展转型,并促进水环境质量的持续优化。
林建伟,季高华,杨洁,周捷,吴旭干,詹艳慧,熊瑞祥,宋宇迪,叶佳伟,丁龙海,王馨怡
2025, 34(5):1115-1130. DOI: 10.12024/jsou.20241204723
摘要:池塘水质不仅直接影响中华绒螯蟹养殖的产量和质量,且会影响池塘水环境健康和尾水达标排放。在上海市崇明岛选择5个代表性的中华绒螯蟹成蟹养殖基地作为采样点,系统研究成蟹养殖期间池塘水质变化特征,并对其进行评价,水质指标包括溶解态活性磷(SRP)、总磷(TP)、氨氮(NH4+-N)、硝态氮(NO3--N)、亚硝态氮(NO2--N)、总氮(TN)、高锰酸盐指数(CODMn)、悬浮颗粒物(SS)、叶绿素a(Chl.a)等。结果发现,不同月份崇明岛中华绒螯蟹成蟹养殖池塘水体中SRP和TP平均浓度分别为0.091~0.300和0.235~0.449 mg/L;4月NH4+-N平均浓度较高(3.82 mg/L),而养殖中后期NH4+-N浓度较低(< 2 mg/L);4月和5月TN平均浓度较高(分别为7.04和6.19 mg/L),9月和10月部分池塘TN浓度较高,而养殖中期TN浓度较低(< 3 mg/L);随着养殖时间的延长,CODMn平均浓度先下降而后又再上升,4—9月平均浓度较低;SS平均浓度为159~331 mg/L;从6月开始,Chl.a平均浓度逐渐增加,10月达到最大值。崇明岛中华绒螯蟹成蟹养殖池塘水体中TP、SRP、NH4+-N、NO2--N和TN相互之间存在显著的正相关性,CODMn与TN和Chl.a呈显著正相关,SS仅与NO2--N呈显著正相关,Chl.a仅与CODMn呈显著正相关。富营养化评价结果表明,崇明岛中华绒螯蟹成蟹池塘水体存在较高的蓝藻水华爆发风险。与《上海市水产养殖尾水排放标准》相比,养殖池塘水体超标污染物主要为SS,NH4+-N和TN超标主要发生在养殖初期。综上,养殖中后期NH4+-N、中期TN平均浓度显著下降,CODMn平均浓度则先下降后上升,蟹塘水体中CODMn和TN、SS和NO2--N均呈显著正相关性,SS为池塘的主要污染物,尾水排放前需要进行沉淀处理,以便达标排放。
2025, 34(5):1131-1144. DOI: 10.12024/jsou.20241104699
摘要:附着硅藻群落结构能快速、综合地反映水环境变化,然而目前有关超大型城市河网附着硅藻群落特征及相关环境因子的研究,还相对匮乏。以上海城市河网为例,选取16条中小河道,利用人工基质采集附着硅藻,使用加权营养状态指数法(TSI)综合评估水质情况,分析附着硅藻群落特征并量化附着硅藻群落响应溶解性氮、磷营养盐的阈值。结果显示:调查水体中除宝山区束家湾2个位点外,大部分位点均处于富营养状态;硅藻群落中相对丰度超过10%的类群主要为舟形藻属(Navicula)、肘形藻属(Ulnaria)、菱形藻属(Nitzschia)、直链藻属(Melosira)和异极藻属(Gomphonema)等;相对丰度超过1%的物种共计28种,其中丰度最高的为变异直链藻(Melosira varians)。RDA分析显示,水体溶解性总氮(DTN)、溶解性总磷(DTP)、氨氮(NH4+-N)、二氧化硅(SiO2)以及高锰酸盐指数(CODMn)是影响附着硅藻群落差异的关键因子。另外,临界指示物种分析(TITAN)显示附着硅藻群落会在DTN和DTP达到阈值时发生较大变化,附着硅藻群落的DTN正响应阈值为2.26 mg/L,响应物种共14种,其中指示种中纤细异极藻(Gomphonema gracile)的阈值最高,为3.30 mg/L;DTP正、负响应阈值分别为0.12、0.16 mg/L,正响应指示种共15种,其中尖突异极藻(Gomphonema acuminatu)和纤细异极藻的阈值最高均为0.24 mg/L;负响应指示种仅2种,分别为橄榄绿异极藻(Gomphonella olivacea,阈值为0.14 mg/L)和隐柔弱舟形藻(Navicula cryptotenella,阈值为0.17 mg/L)。结论表明:上海中小河道水体的关键水化学参数能显著影响硅藻群落结构;纤细异极藻等物种可作为水体可溶性总氮总磷的指示物种。本研究为上海河网的生态监测和科学管理提供了基础数据和技术支撑。
2025, 34(5):1145-1157. DOI: 10.12024/jsou.20241104686
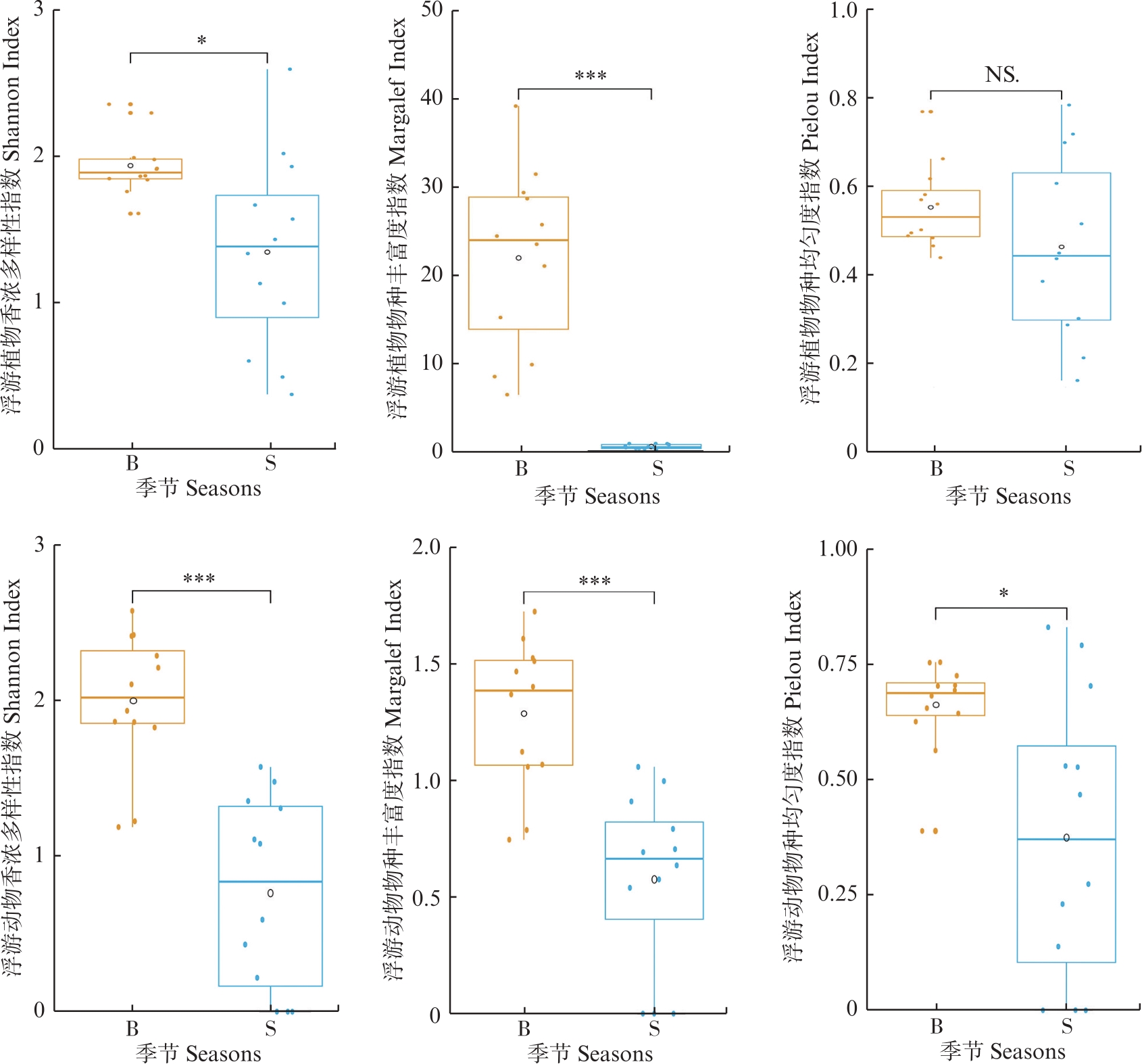
摘要:为探究三岔河中游现有鱼类的种类组成和多样性特征,分别于2022—2023年的丰水期和枯水期在三岔河中游黔中水利枢纽工程水域设置9个采样点,对鱼类资源进行了3次调查,分析了该水域的鱼类资源现状及物种多样性。结果显示:在三岔河中游黔中水利枢纽工程水域共调查到鱼类30种,分属于3目6科26属,其中鲤形目鱼类最多,有23种,占总数的76.67%。有保护鱼类7种,外来物种2种。优势种为(Hemiculter leucisculus)、鳙(Aristichthys nobilis)、中华倒刺鲃(Spinibarbus sinensis)和鲫(Carassius auratus)。鱼类多样性指数Margalef 种类丰富度指数(D)、Shannon-Wiener多样性指数(H')、Pielou均匀度指数(J′)和Simpson 优势度指数(C)分别为3.96、1.93、0.57、和0.75。β多样性指数分析显示,黔中水利枢纽工程库区和坝下水域的βc和βr分别为8.0和15.8。库区和坝下水域的Jaccard相似性指数JSI为0.47,分析显示为“中等不相似”。研究表明,库区水域和坝下水域间的生境差异较大,鱼类物种存在一定分化。本研究为三岔河黔中水利枢纽水域的鱼类多样性保护和科学管理提供了基础调查数据。
2025, 34(5):1158-1170. DOI: 10.12024/jsou.20240204428
摘要:为了解博斯腾湖浮游生物群落结构状况及其影响因子,分别于2021年夏季(8月)和2022年春季(5月)对博斯腾湖12个采样点的浮游生物和主要理化因子开展了2次季度调查。结果显示:2次调查共鉴别出浮游植物6门106种(属),浮游动物50种(属)。夏季浮游植物优势种有5种,浮游动物优势种有4种。春季浮游植物优势种有3种,浮游动物优势种有2种。夏季浮游植物平均密度(21.80×106 cells/L)和平均生物量(3.05 mg/L)极显著高于春季(0.023×106 cells/L,0.04 mg/L)(P<0.01)。夏季浮游动物总平均密度(105.75 ind./L)高于春季(50.44 ind./L),春季浮游动物总平均生物量(0.87 mg/L)高于夏季(0.16 mg/L),但差异均不显著(P>0.05)。夏季浮游生物H'和J值均比春季高,夏季浮游动物的多样性指数显著高于春季(P<0.01)。水温在博斯腾湖浮游植物的生长中具有重要的作用,Chl.a是影响博斯腾湖浮游动物群落结构的重要因子。
2025, 34(5):1171-1185. DOI: 10.12024/jsou.20250404817
摘要:通过环境DNA技术(Environmental DNA,eDNA)与理化参数分析,系统解析了杭州湾表层沉积物中生物群落结构、生境要素及污染物的空间分布特征及其对生物多样性的影响。结果表明,杭州湾表层沉积物中共鉴定出53门生物类群,后生动物占据主导地位(42.55%),其中三疣梭子蟹(Portunus trituberculatus)为绝对优势种(20.84%),群落呈现显著的关键种驱动特征。生物多样性空间分异显著:丰富度指数Observed species(513~3 169)、Chao1(777.33~4 185.46)由北向南呈递减趋势,均匀度指数Pielou J(0.05~0.79)和多样性指数Shannon(0.31~6.01)均呈现北部高、中部低、南部略高的趋势。沉积物粒度[以粉粒为主,(70.72±1.94)%]与TOC[(0.20±0.06)%]、TN[(0.06±0.01)%]的空间分异显示:粗颗粒底质通过优化蟹类栖息条件驱动群落单一化,而C/N(3.12±0.83)指示海源有机质主导,TOC和TN高值区与藻类和原生动物优势吻合。污染物分析表明:杭州湾沉积物中污染物总体呈现离岸扩散梯度降低特征,其中DDTs[(9.45±1.68) ng/g],溴代阻燃剂[以NBFRs为主(76.7%)],PBDEs(BDE209比重超过71%),全氟及多氟烷基物质(PFCAs占比87.9%)因高水溶性,沉积物中分布相对均一。潮汐动力与陆源排放塑造了生境要素和污染物的空间异质性。研究通过整合宏观尺度冗余分析(RDA)与微观生态机制解析,构建了杭州湾"格局-机制"协同验证体系。宏观层面揭示生物群落多样性对多维环境梯度的响应规律,微观层面阐明污染物与环境因子对功能群落的差异驱动作用。二者互证表明,跨尺度互馈机制是解析生态系统涌现性特征的核心路径,为大型强潮河口生态系统的多压力协同管理提供了科学依据。
2025, 34(5):1186-1192. DOI: 10.12024/jsou.20250304814
摘要:管口亚纲(Cyrtophoria)纤毛虫既是水生生物膜和底栖微型生物群落的优势类群,也是水产动物常见的病原生物,其多样性长期被低估。本研究利用活体显微观察和蛋白银染色法对采自上海一淡水人工湖的沈氏齿蓬虫(Odontochlamys shenae sp. nov.)新种的活体特征及纤毛图式进行了详尽形态学研究。新种的主要特征包括:活体大小为60~80 μm × 30~33 μm,口区具12~15根咽杆,6~7列右侧体纤毛列,6~8列左侧体纤毛列,背端动基列片段由8~20个毛基粒组成,伸缩泡3个,大核1枚,淡水生。此外,对齿蓬虫属(Odontochlamys)进行了回顾,发现该属地理分布特征很可能呈中度限制性分布,并提供了该属的物种检索表。
您是本站第 访问者
通信地址:上海市浦东新区沪城环路999号
邮编:201306 传真:021-61900229
电话:021-61900229 E-mail:xuebao@shou.edu.cn
技术支持:北京勤云科技发展有限公司
上海海洋大学学报 ® 2026 网站版权所有 ICP:京ICP备09084417号-36
