2025, 34(6):1193-1202. DOI: 10.12024/jsou.20241104689
摘要:CRISPR-Cas13d蛋白通过crRNA介导结合靶向RNA底物,利用其核糖核酸内切酶活性实现精准切割,为RNA水平的基因调控提供非基因组编辑策略。本研究基于青鳉(Oryzias latipes)密码子偏好性优化Cas13d基因序列,成功构建原核表达系统并纯化获得分子量为115 ku的重组Cas13d蛋白。进一步通过显微注射将体外转录的Cas13d mRNA与靶向酪氨酸酶基因(tyr)的crRNA复合物导入青鳉胚胎,同时利用Cas13d蛋白/crRNA核糖核蛋白(RNP)系统进行平行实验。qRT-PCR及测序分析表明,两种递送方式均能显著降低青鳉胚胎内tyr基因的RNA水平(P<0.01),且基因测序证实靶位点DNA序列未发生突变。本研究在青鳉中验证了Cas13d系统通过RNA编辑实现基因沉默的有效性与特异性,不仅为鱼类基因探索提供新型调控工具,也为构建基于RNA靶向的Cas13d抗病毒转基因鱼类品系奠定了理论基础。
2025, 34(6):1203-1213. DOI: 10.12024/jsou.20241004669
摘要:为了探究Map2k1基因在梨形环棱螺性腺发育及性别分化中的作用,采用基因克隆、实时荧光定量、原位杂交以及RNA干扰技术来研究Map2k1在梨形环棱螺中的表达和功能。结果显示,Map2k1 cDNA ORF区全长1 191 bp,编码396个氨基酸,MAP2K1蛋白中含有S_TKc结构域,其氨基酸序列与软体动物同源性较高。Map2k1在雄性和雌性多种组织中均有表达,尤其是在雌性性腺中的表达量最高,且雌雄性腺的表达水平存在极显著差异(P<0.01)。原位杂交的结果表明,在雌性梨形环棱螺卵母细胞和卵巢囊泡中,Map2k1存在明显的杂交信号。RNA干扰的结果显示,在雌性梨形环棱螺中,Map2k1的干扰链G1在注射后12 h达到最高干扰率,为73.1%,并导致其他性别相关基因β-catenin、Cyp17a1和Sox9表达量显著降低。研究表明,Map2k1可能参与了雌性梨形环棱螺性腺发育和性别分化过程。本研究可为梨形环棱螺性腺发育和单性化育种研究提供理论参考。
2025, 34(6):1214-1225. DOI: 10.12024/jsou.20241104690
摘要:美洲鲥是我国近年来引进的名优经济鱼类,因其具有较高的规模化养殖推广价值而备受关注。本研究利用20个微卫星标记对美洲鲥3个养殖群体和2个野生世代的共计150尾个体开展了遗传多样性和遗传结构分析,以期能够为科学地评估上海引种美洲鲥不同群体的种质资源现状及其新品系的选育提供理论基础。结果显示,20个微卫星标记在150个个体中总共检测到201个等位基因,每个位点平均可检测到10.05个等位基因;5个群体的平均有效等位基因数(Ne)在2.675 4~4.136 0,平均观测杂合度(Ho)和平均期望杂合度(He)分别在0.675 0~0.775 0和0.601 8~0.729 8,平均多态信息含量(PIC)在0.547 3~0.698 8。分子方差和遗传分化分析的结果表明,5.07%的遗传变异来自于群体间,94.93%的遗传变异来自于所有个体间;YSF1与YZF4、YZF5的遗传分化均为中等程度(0.05<Fst<0.15),其余两两群体间的遗传分化微弱(Fst<0.05)。哈迪-温伯格平衡检测结果显示,有31%的群体位点显著偏离哈迪-温伯格平衡(P<0.05)。基于遗传距离构建的UPGMA进化树显示,5个美洲鲥群体可分为2个聚类簇,PCoA分析和贝叶斯Structure聚类分析亦获得了类似的结果。结果表明,上海引种美洲鲥养殖群体仍保持着相对较高的遗传变异水平和潜在的遗传育种价值。
2025, 34(6):1226-1239. DOI: 10.12024/jsou.20241004661
摘要:腹吸鳅科(Gastromyzontidae)鱼类主要栖息于亚洲东南部山区溪流,该科鱼类体型扁平,偶鳍宽大,部分种类偶鳍特化为吸盘状。为了解腹吸鳅科鱼类肠道微生物群落的多样性和结构,本文对保亭近腹吸鳅(Plesiomyzon baotingensis)、秉氏爬岩鳅(Beaufortia pingi)、贵州爬岩鳅(Beaufortia kweichowensis)、拟平鳅(Liniparhomaloptera disparis)、中华近原吸鳅(Erromyzon sinensis)、似原吸鳅(Paraprotomyzon multifasciatus)、方氏品唇鳅(Labidogastromyzon fangi)、长汀品唇鳅(Labidogastromyzon changtingensis)、平舟原缨口鳅(Vanmanenia pingchowensis)、原缨口鳅(Vanmanenia stenosoma)、扁头原缨口鳅(Vanmanenia homalocephala)、斑纹缨口鳅(Formosania stigmata)等 8个属12个物种的肠道样本进行了MiSeq 16S rRNA高通量测序,分析了操作分类单元(OTU)数量、微生物群落组成、Alpha多样性以及功能预测。共鉴定出1 029个OTU,涵盖31门75纲173目278科465属689种,每种平均OTU数175个,共有OTU数3个。在群落组成上,优势菌门为变形菌门(Proteobacteria)、梭杆菌门(Fusobacteriota)、放线菌门(Actinobacteriota)和疣微菌门(Verrucomicrobiota),优势菌属为无色杆菌属(Achromobacter)、鲸杆菌属(Cetobacterium)、邻单胞菌属(Plesiomonas)和分枝杆菌属(Mycobacterium)等。共有菌属为红球菌属(Rhodococcus)、分枝杆菌属(Mycobacterium)和赖氏菌属(Leifsonia)。Alpha多样性分析表明,不同物种的微生物群落在物种丰富度和多样性方面存在显著差异。秉氏爬岩鳅的多样性最高,而原缨口鳅的多样性最低。利用KEGG通路分析发现,肠道微生物编码的大多数基因与代谢过程相关,其中与氨基酸转运和代谢相关的功能通路相对丰度最高,为11.40%。从OTU 数和OTU水平的PCoA分析角度看,很难预测其与系统发育之间的关联性。相比生活在平原和河湖系统的鱼类,腹吸鳅科鱼类的优势群属中包含诸如分枝杆菌属(Mycobacterium)的专性需氧菌(占9.47%),以及一些偏好有氧环境的兼性厌氧菌,如无色杆菌属(Achromobacter)(占比24.91%)等。
2025, 34(6):1240-1250. DOI: 10.12024/jsou.20240904626
摘要:为研究不同投喂模式对中华绒螯蟹(Eriocheir sinensis)扣蟹对池塘中饵料生物的利用,在不同养殖池塘中分别投喂传统饵料(小麦、麸皮和豆粕)、配合饲料和混合饵料(传统饵料和配合饲料1∶1混合),于8月中旬采集不同投喂模式下扣蟹的胃内含物,通过18S rDNA高通量测序技术测定主要潜在食物成分。结果显示:(1)传统饵料模式下扣蟹胃内含物食物组成的Chao指数显著高于混合饵料模式,Simpson指数则相反。(2)传统投喂模式下扣蟹胃内含物中相对丰度最高的门类依次是以绿藻纲和共球藻纲为主的轮藻门、以纤毛虫纲为主的纤毛亚门和以眼点藻纲和金藻纲为主的褐藻门;配合饲料投喂模式为轮藻门、以软甲纲为主的节肢动物门和褐藻门;混合投喂模式为轮藻门、节肢动物门和以鱼纲为主的脊椎动物亚门。(3)3种投喂模式下雌性和雄性扣蟹的胃内含物食物组成没有显著差异。(4)3种投喂模式扣蟹胃内含物食物组成中在纲水平上共有的种类有207种。配合饲料模式下的扣蟹胃内含物的主要成分完全涵盖了混合饵料模式和传统饵料模式中的主要成分。综上,不同投喂模式下扣蟹胃内含物中食物组成的多样性和丰度不同,扣蟹胃内含物主要是以绿藻纲和共球藻纲为主的轮藻门饵料,3种投喂模式下雌性和雄性扣蟹的胃内含物食物组成无显著差异。
2025, 34(6):1251-1262. DOI: 10.12024/jsou.20241004673
摘要:为了探究碳酸盐碱度胁迫对日本沼虾(Macrobrachium nipponense)组织结构和渗透压调节基因表达的影响,以日本沼虾幼虾[(3.12±0.42)g]为研究对象,首先进行碳酸盐碱度急性胁迫实验,得出96 h半致死浓度(LC50),在此基础上设置对照组(1.5 mmol/L)、碳酸盐碱度处理组(10 mmol/L),进行为期96 h的碳酸盐碱度急性胁迫实验。结果显示,日本沼虾幼虾碳酸盐碱度96 h LC50值为16.89 mmol/L,安全浓度为6.47 mmol/L。相比于淡水对照组,随着高碳酸盐碱度胁迫时间的延长,实验组的幼虾鳃上皮细胞与支柱细胞排列紊乱,出现鳃丝开始肿大现象;在肝胰腺组织中,实验组的幼虾肝胰腺中B细胞内部运转泡体积增高,部分肝小管间的边界模糊;在肠道组织中,实验组的幼虾肠道黏膜高度与肌肉厚度明显降低,肠道微绒毛状结构脱落程度随碳酸盐碱度胁迫程度的升高而加剧。在急性碱度胁迫96 h的实验中发现,日本沼虾的鳃组织中渗透压调节基因(CA3和NaK-ATP)表达量均显著高于对照组(P<0.01),而日本沼虾肝胰腺组织中的渗透压调节基因(CA3和NaK-ATP) 表达量在碳酸盐碱度胁迫初期均显著高于对照组(P<0.01),但是在碱度胁迫96 h时,其表达量与对照组差异不显著。研究表明,与对照组相比,高碳酸盐碱度急性胁迫会导致日本沼虾幼虾鳃、肝胰腺和肠道组织产生不同程度的损伤,其渗透压调节相关基因表达模式呈先升高后降低趋势,本研究可为碳酸盐型盐碱水养殖日本沼虾生产实践提供参考资料。
2025, 34(6):1263-1269. DOI: 10.12024/jsou.20241104707
摘要:旨在建立一种基于磁珠富集法的养殖水体中鳜蛙虹彩病毒的检测方法。结果显示,该方法能有效富集养殖水样中的鳜蛙虹彩病毒,通过常规PCR法扩增可获得特异性条带。定量分析显示,磁珠富集法结合实时荧光定量PCR技术,其灵敏度达到0.01 copies/μL的检测限。可行性分析证明,磁珠富集法与qPCR检测结果具有90%的一致性,且适用于全自动核酸检测平台。与传统qPCR方法相比,该方法在保持高检测一致性的同时,具备更好的抗干扰能力和操作便捷性。本研究开发的检测技术具有操作简便、灵敏度高等特点,为养殖水体病原监测和早期预警提供了可靠的技术支持,对水产养殖病害防控具有重要实践意义。
2025, 34(6):1270-1280. DOI: 10.12024/jsou.20241104712
摘要:热休克蛋白Hsp70是一种分子伴侣和维持细胞稳态的中枢调节因子,在促进蛋白质折叠、运输、重塑、降解等功能中发挥着重要作用。为了探究Hsp70蛋白在草鱼中所发挥的生物学效应,通过PCR技术克隆Hsp70蛋白基因全序列,构建原核表达载体pET28a-Hsp70。利用原核表达系统,成功表达Hsp70-HIS融合蛋白,利用噬菌体展示技术筛选出能够高度富集Hsp70蛋白的多肽序列,并通过NCBI进行预测分析。SDS-PAGE电泳结果分析表明,Hsp70-HIS融合蛋白可在PBS中较好地溶解,蛋白分子量为70 ku左右;通过对噬菌斑的测序发现噬菌体展示文库中存在两条多肽序列能够被Hsp70蛋白高度富集;Dot Blot实验验证筛选出的两条多肽序列与Hsp70蛋白存在相互作用;为了发掘筛选多肽序列的作用,采用不同浓度的多肽处理CIK细胞并感染GCRV病毒,qPCR结果表明多肽处理细胞后,GCRV的复制水平显著上升。基于以上研究结果,对NCBI数据库进行BLAST分析后发现草鱼基因组以及草鱼呼肠孤病毒基因组中存在6组蛋白,这些蛋白可能与Hsp70之间存在相互作用的关系。本研究为解析Hsp70在草鱼热休克与病毒入侵过程中的生物学功能奠定了良好的研究基础。
2025, 34(6):1281-1291. DOI: 10.12024/jsou.20250304805
摘要:为了探究鳗弧菌(Vibrio anguillarum)感染菲律宾蛤仔(Ruditapes philippinarum)的半致死浓度(LC50)及其对蛤仔鳃组织和免疫基因的影响。本研究开展了5种不同浓度鳗弧菌对蛤仔为期7 d的胁迫研究,并分析了鳃组织病理变化、溶菌酶(LZM)活性、载菌量及免疫基因表达情况。结果表明,注射鳗弧菌胁迫蛤仔168 h 的半致死浓度(LC50)组为5×107 CFU/mL组,存活率为52.3%,半致死浓度(LC50)为6.08×106CFU/(mL·g),而5×108 CFU/mL组的存活率最低(33.6%),5×106CFU/mL组的存活率最高(67.0%)。载菌量分析显示,半致死浓度(LC50)组鳃组织中鳗弧菌数量在24 h达到峰值(7.53 CFU/mg),随后逐渐降低,120 h降至4.26 CFU/mg。LZM活性测定显示,鳃组织中LZM活性在12 h达到峰值(123.03 U/mg prot),随后逐渐降低,120 h降至77.92 U/mg prot。病理分析发现,感染鳗弧菌24 h后蛤仔鳃组织出现排列紊乱,鳃丝间连接被破坏,收缩严重,间隙增大等病理特征。此外,荧光定量PCR(qPCR)分析发现鳗弧菌胁迫显著诱导了热休克蛋白 (Hsp70)、细胞色素 (Cyp1a1)、丝氨酸/苏氨酸蛋白激酶(Pim3)、溶酶体(Lysozyme)、含硫酯蛋白(Cd109)、肿瘤坏死因子受体6 (Traf6)等免疫基因的表达(P<0.05),揭示了这些基因在菲律宾蛤仔抗鳗弧菌胁迫的免疫防御过程中发挥了重要作用。本研究初步探究了鳗弧菌对菲律宾蛤仔的影响,为菲律宾蛤仔抗鳗弧菌的先天免疫机制提供了新思路。
赵度宾,陆天宇,陈锦辉,魏广恩,刘企昂,王晓东,钟俊生,林军
2025, 34(6):1292-1307. DOI: 10.12024/jsou.20241204745
摘要:基于2022年7月—2023年5月在长江口南支、北支及崇明岛东滩水域设置30个采样点,按季度使用大型仔稚鱼网(网口直径1.3 m,网目0.5 mm)进行表层水平拖网采集刀鲚(Coilia nasus)、凤鲚(Coilia mystus)仔稚鱼,同时测定环境因子,利用广义相加模型(GAM)分析影响其时空分布的环境因子。结果表明:刀鲚仔稚鱼主要分布于长江口南支、北支口门内和崇明岛东滩附近水域,未采集到刀鲚鱼卵;凤鲚鱼卵分布于南支的长兴岛至九段沙水域和北支口门外水域,仔稚鱼主要分布在南支口门外、北支和崇明岛东滩水域。据GAM模型分析,两种鱼类利用长江口作为产卵场、保育场且具有显著的季节性分布:夏季对刀鲚仔稚鱼的丰度有显著的正效应,夏季、春季对凤鲚仔稚鱼的丰度有显著的正效应,夏季显著高于春季(P<0.01)。盐度对刀鲚仔稚鱼的丰度影响显著(P<0.01),刀鲚仔稚鱼的适宜盐度为0~6;温度、盐度、pH对凤鲚仔稚鱼的丰度影响显著(P<0.01),适宜温度为20~32 ℃,适宜盐度为2~16,适宜pH为7.3~8.2,适宜溶解氧为6.0~9.0 mg/L。环境因子的交互效应中,温度-盐度、温度-pH对凤鲚仔稚鱼的丰度有显著影响。两者的保育场存在重叠现象,不同发育阶段的空间分布存在差异。研究结果有助于更好地了解长江口刀鲚、凤鲚的生态动态,并为早期资源保护提供科学依据。
2025, 34(6):1308-1319. DOI: 10.12024/jsou.20240904648
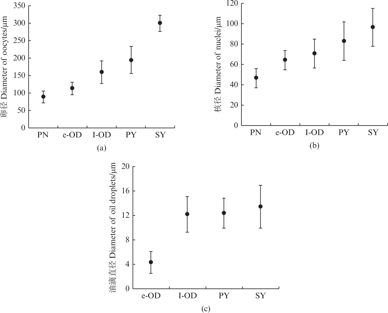
摘要:为了掌握星康吉鳗(Conger myriaster)野生群体繁殖相关性状,实验采用外部形态特征、性腺组织学观察和形态指标体系分析,研究了浙江嵊泗附近东海海域星康吉鳗繁殖生物学相关特征的周年变化。在2017年10月至2018年10月间共采集星康吉鳗235尾。结果显示,浙江嵊泗附近海域常年有星康吉鳗分布;体长为494~631 mm的星康吉鳗占79.1%、体质量为140~390 g的星康吉鳗占79.1%;星康吉鳗的平均体质量、体长、肥满度和性腺指数在2018年1月最高,2018年4月最低,而肝体指数在2018年4月最高。周年采集的235尾样本中,仅发现1尾雄鱼(0.43%),另有6尾幼鱼未发现性腺,无法分辨性别。雄鱼仍处于精原细胞阶段,雌鱼卵母细胞处于核仁周期至次级卵黄球期,处于核仁周期和油球早期的星康吉鳗雌鱼分别占总量的21.28%和61.70%,此时卵母细胞直径为51.12~167.73 μm,核径为26.71~83.42 μm。分析表明,从核仁周期到次级卵黄球时期,星康吉鳗雌鱼的肥满度显著上升(P<0.05)。本研究可为星康吉鳗资源评估及人工繁殖提供详细的基础资料。
2025, 34(6):1320-1334. DOI: 10.12024/jsou.20250104758
摘要:为比较人工湿地中不同基质对养殖尾水中抗生素和营养型污染物的协同处理效果,本实验选用生物陶粒、沸石和火山岩等3种人工湿地基质,分析不同基质中细菌群落结构特征及其对不同污染物的去除效果。结果显示,生物陶粒组中NH4+-N、CODMn和磺胺嘧啶的去除率显著(P<0.05)高于另外2组,但NO3--N去除率显著较低,3种基质人工湿地中诺氟沙星的去除率都高于98%。人工湿地基质表面的细菌丰富度较高,以变形菌门、放线菌门和绿弯菌门为主,湿地植物根系表面和根系内的细菌则分别以变形菌门和蓝细菌门为主。不同人工湿地基质表面的细菌群落结构差异较大。影响磺胺嘧啶去除率的可能不是湿地中整个微生物群落的多样性,而是少数关键细菌的丰度。与磺胺嘧啶去除率相关性最高的属为Cyanothece,其次是Craurococcus-Caldovatus,这两属细菌在生物陶粒表面的丰度都显著高于沸石表面和火山岩表面;Acidibacter属和2种抗生素去除率呈显著正相关,和NO3--N的去除率呈显著负相关。研究结果表明,以生物陶粒为基质的人工湿地对含有磺胺嘧啶抗生素的水产养殖尾水处理综合去除效果最佳,可以广泛推广应用。
2025, 34(6):1335-1344. DOI: 10.12024/jsou.20241204727
摘要:为研究长期低氧胁迫对精巢发育的影响,采用显微观察和转录组测序技术比较了常氧(6.5±0.2)mg/L与长期低氧胁迫(1.5±0.2)mg/L下,斑马鱼精巢组织的显微结构与转录组变化。结果表明:光镜切片下,长期低氧使斑马鱼精巢组织呈现精原细胞排列疏松、精子数量明显减少的现象;常氧组和长期低氧组精巢的转录组比较显示,683个基因在低氧精巢中表达量显著下调(P<0.05),710个基因在低氧精巢中表达量显著上调(P<0.05)。对差异基因进行基因本体论(Gene ontology,GO)和京都基因与基因组百科全书(Kyoto encyclopedia of genes and genomes,KEGG)的富集分析发现,差异基因主要富集在肌细胞分化、对含氧化合物的反应、精巢发育和生物合成氨基酸等通路上。其中,aco2基因的高表达与idh3b基因的低表达可能与长期低氧影响精巢组织发育相关。与能量生成相关的基因pgam2、aldoaa、aldoab在低氧精巢中表达量显著上调,提示低氧下精子的生成可能有更高的能量需求。另外,低氧斑马鱼精巢中多个肌细胞分化基因的显著高表达,可能是雄性斑马鱼性腺发育对低氧环境的适应机制。研究表明,在长期低氧胁迫下雄性斑马鱼性腺组织发育退化,通过转录组分析研究,可为揭示鱼类精巢的长期低氧适应提供新思路。
2025, 34(6):1345-1357. DOI: 10.12024/jsou.20250404852
摘要:生物多样性及生物群落的构建机制是研究热点,浮游植物作为水生态系统中的初级生产者,具有重要的水生态功能,在长江流域水平上的相关研究少见。本研究采用环境DNA宏条形码技术,针对长江浮游硅藻及绿藻群落进行研究。结果表明:在长江全流域共检出389个操作分类单元(OTU),隶属于62科101属,绿藻相对更多。在长江上游、中游和下游分别检出378、322和318个OTU。上游和下游的生物多样性相对较高,Shannon-Wiener指数中值超过2.0。Mantel检验表明,上游群落与pH显著相关(P < 0.05);中游群落与总有机碳极显著相关(P < 0.01),与电导率显著相关(P < 0.05);下游群落与溶解氧、高锰酸盐指数和氟离子均极显著相关(P< 0.01)。冗余分析表明总氮对全流域硅藻和绿藻群落的解释最强,其次是电导率。此外,中性模型和零模型分析表明,群落构建主要由随机性过程主导,群落组成呈现明显的距离衰减模式,且从上游到下游距离衰减现象越来越显著。
2025, 34(6):1358-1367. DOI: 10.12024/jsou.20250304815
摘要:为更深入了解大黄鱼资源的恢复状况,基于2020—2021年大陈岛局地尺度4个季度的拖网采样数据,通过捕获的野生大黄鱼(Larimichthys crocea)幼鱼的体长参数与增殖放流个体的比对,初步判别其是否属于野生繁殖群体,测定大陈岛海域获取的大黄鱼的野生成鱼样本(LCA)、野生幼鱼样本(LCJ)以及铜网养殖群体样本(LCC)线粒体COⅠ基因序列片段差异,以初步探讨增殖放流对大黄鱼野生繁殖群体的遗传结构和多样性的影响。结果显示:研究海域采集的大黄鱼幼鱼集中出现在春季,其体长范围为11.24~70.00 mm,平均体长(33.46±12.90) mm,显著低于增殖放流群体的最小体长规格标准(>5 cm)。野生大黄鱼成鱼及稚鱼具有较高的单倍型多样性和中等的核苷酸多样性(Hd=0.516~0.879,Pi=0.001 8~0.003 7)。遗传分化指数显示,3个群体之间遗传分化程度极小,群体间基因流为6.814 1~∞,无显著遗传结构差异。系统发育和网络分析表明,野生群体与养殖群体间具有较高的遗传相关性。研究表明:增殖放流或网箱逃逸所形成的大黄鱼野外种群已经在大陈海域繁殖产生后代,并已形成一定规模的补充群体,且呈现基因突变的累积效应,大陈海域大黄鱼资源的恢复条件已逐渐成型。
2025, 34(6):1368-1385. DOI: 10.12024/jsou.20241004677
摘要:为了研究2021年调水调沙期间黄河口水沙分布及生态环境变化,探讨调水调沙对黄河口地区水动力和生态环境的影响机制。本文基于非结构网格有限体积海洋模型(Finite volume community ocean model,FVCOM)建立渤海三维水动力模型和生态模型,并结合遥感资料,分析调水调沙期间黄河口冲淡水、悬浮泥沙、营养盐及叶绿素a质量浓度的时空变化特征。结果表明,调水调沙显著改变了黄河口冲淡水和悬浮泥沙的分布与扩散特征。调水调沙期间,黄河口海域悬浮泥沙和营养盐浓度明显增加,悬浮泥沙扩散范围在排沙期和排水期基本一致,但因入海径流量减少,排沙期扩散范围有所限制。陆源物质主要集中在河口南北两侧,南侧扩散范围大于北侧。同时,调水调沙期间氮磷比增大,营养盐输入促进浮游植物生长,导致叶绿素a质量浓度显著升高。然而,悬浮泥沙浓度上升引发光限制效应,部分抵消了营养盐增加对初级生产的促进作用。研究表明,将排沙期设置在调水期之后,对降低光限制效应和抑制有害藻华具有重要作用。本研究为优化黄河口调水调沙方案、有效防控藻华及维护生态环境提供了科学依据。
2025, 34(6):1386-1403. DOI: 10.12024/jsou.20250104759
摘要:为了解决当前海冰厚度检测中对单一数据源依赖,限制了海冰厚度反演精度进一步提升的问题。本文提出了一种基于异源数据分段特征融合的海冰厚度反演方法,实验采用Sentinel-1 合成孔径雷达数据与ERA5再分析数据,通过对海冰厚度区间 [(0,1.5) m、(0,2)m、(0,3) m 等]进行划分,针对不同分段区间的海冰进行特征优选组合,构建基于堆叠式集成学习的海冰厚度反演模型,利用多个基模型和元模型之间的串并级联实现优势互补,充分挖掘异源特征与海冰厚度之间的隐藏关联,实现分段海冰厚度的精确反演。结果显示,相比其他传统机器学习方法,该方法在不同分段区间获得了较好的整体反演效果,其中,(0,1.5)m区间表现最佳,决定系数(R2)达0.923,均方根误差(RMSE)低至0.089 m。研究表明,通过分段特征优选与异源数据融合可有效提高海冰厚度反演精度,验证了本文提出的堆叠式集成学习模型在异源数据融合中的优势。本研究可为实现海冰厚度高精度反演提供新方法。
2025, 34(6):1404-1414. DOI: 10.12024/jsou.20250404841
摘要:在全球公共安全事件频发、城市食品系统面临多重不确定性冲击的背景下,提升城市生鲜农产品供应链的韧性已成为保障民生安全与维持城市系统稳定运行的关键议题。生鲜农产品具有易腐性强、流通环节多、储存难度大、即时需求高等特征,使其供应链在遭遇突发风险事件时更易发生中断。本研究以城市生鲜农产品供应链为研究对象,聚焦城市生鲜农产品供应链在非常态情境下的响应能力与运行保障能力,基于PPRR理论、动态能力理论与农产品供应链管理理论构建分析框架,系统提炼预测能力、适应能力、恢复能力与学习能力4个核心维度。在此基础上,设计包含13项指标的韧性评价体系,采用层次分析法(AHP)赋权,并结合模糊综合评价法对上海市生鲜农产品供应链韧性进行实证测度。结果显示:上海市在应急响应机制、制度调节能力方面具备较强基础,但在风险预警能力、组织培训频次、信息共享效率等方面仍存在明显短板。基于研究结果,提出以信息感知系统建设、多元储备体系布局、资源调配机制优化与组织学习能力提升为重点的路径优化建议。
2025, 34(6):1415-1427. DOI: 10.12024/jsou.20241204724
摘要:中国渔文化作为中华文明的重要载体,承载着千年历史记忆与民族智慧结晶,在当代社会转型中展现出独特的再生价值。针对渔业经济结构性调整带来的渔文化传承危机,通过多维度解构渔文化核心内涵、资源谱系与外延,首次提出渔文化丰度量化指标。基于倾向得分匹配法的量化研究表明,渔文化对休闲渔业发展具有显著正向影响,2018—2023年在省市层面上产生年均44.6亿元的经济增益效应,有力印证了其在产业升级与区域经济中的赋能价值。通过系统梳理当前渔文化的研究和传承现状以及面临的困境,提出提升价值认知、强化资源调查、开展区域试点传承、拓展宣传普及渠道、深化转化应用、推进可持续研究以及加强国际合作等针对性发展建议,为完善文化保护传承体系提供理论框架与实践方案,助推渔文化实现创造性转化与创新性发展,为建设文化强国与海洋强国贡献独特力量。
您是本站第 访问者
通信地址:上海市浦东新区沪城环路999号
邮编:201306 传真:021-61900229
电话:021-61900229 E-mail:xuebao@shou.edu.cn
技术支持:北京勤云科技发展有限公司
上海海洋大学学报 ® 2026 网站版权所有 ICP:京ICP备09084417号-36
