2026, 35(1):1-12. DOI: 10.12024/jsou.20241004656
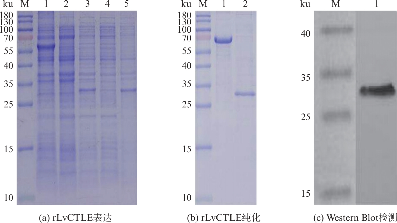
摘要:C型凝集素(C-type lectin,CTL)是识别碳水化合物结构域的重要模式识别受体。本研究基于转录组测序结果,分离克隆了1个凡纳滨对虾(Litopenaeus vannamei)C型凝集素,命名为LvCTLE,并对其表达和功能进行了分析。结果显示,LvCTLE cDNA全长为1 231 bp,开放阅读框702 bp,编码233个氨基酸。LvCTLE氨基酸序列N末端含有1个编码17个氨基酸的信号肽结构域,C末端含有1个编码134个氨基酸的糖识别结构域(CRD)。LvCTLE基因在所检测的9个组织中均有表达,在肌肉和鳃组织中表达量较高。肌肉注射副溶血性弧菌后,LvCTLE基因在对虾肌肉和鳃组织的表达量均呈先上调后下降的趋势,且在12 h表达量达到峰值。原核表达的重组蛋白rLvCTLE的凝菌活性具有Ca2+依赖性,可以凝集格氏乳球菌、大肠杆菌、副溶血性弧菌和塔氏弧菌。rLvCTLE对大肠杆菌的凝集作用可以被D-葡萄糖、D-果糖、D-半乳糖和D-甘露糖抑制。综上所述,LvCTLE能够凝集副溶血弧菌,而且其表达水平在弧菌攻毒条件下有所变化,推测其参与了凡纳滨对虾对副溶血弧菌的响应过程。
2026, 35(1):13-23. DOI: 10.12024/jsou.20240604577
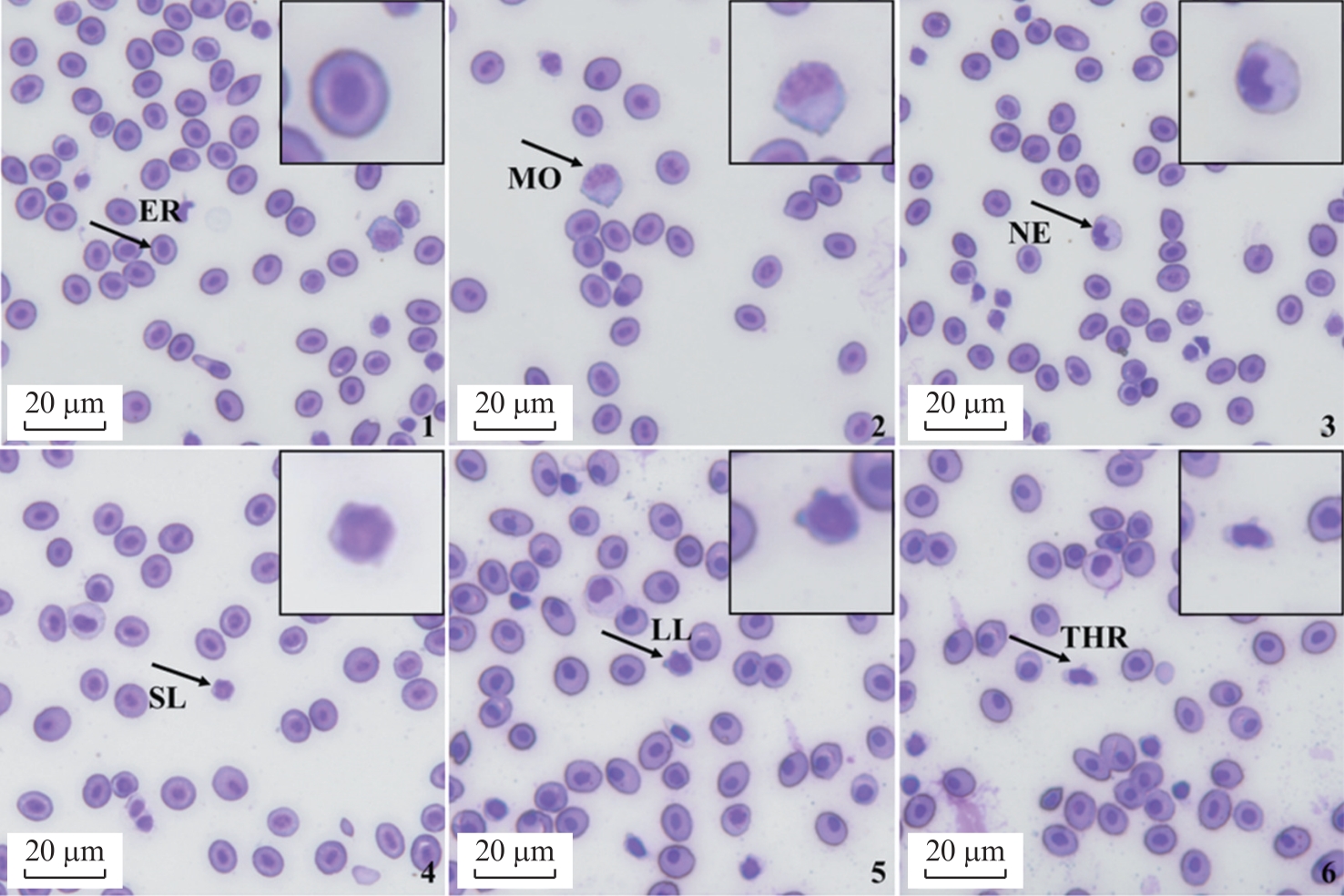
摘要:为了解长期高温对尼罗罗非鱼(Oreochromis niloticus)血液相关指标及组织结构的影响,采用尾静脉血液分析与显微观察技术,比较了常温(28 ℃)与长期高温驯化(34 ℃)下,尼罗罗非鱼血液学参数及脾脏、肝脏的显微结构变化。结果表明,高温组尼罗罗非鱼的红细胞数量和血红蛋白含量均显著高于常温组;尽管血细胞形态在两组温度条件下未见差异,但红细胞、单核细胞和嗜中性粒细胞的大小在高温组中呈现显著减小的趋势。此外,组织切片观察显示,长期高温驯化导致尼罗罗非鱼脾脏组织中红细胞数量增多,红髓面积扩大,白髓面积相对减小,黑色素巨噬细胞数量有所增加;肝脏组织中肝细胞空泡化加剧且黑色素巨噬细胞数量增多。这些结果表明,长期高温环境对尼罗罗非鱼的血液指标及造血组织产生了显著影响,推测其通过调节造血功能和免疫应答来适应高温环境。本研究为理解尼罗罗非鱼在长期高温下的生理适应机制提供了重要参考,也为全球气候变暖背景下的尼罗罗非鱼养殖实践提供了科学依据。
2026, 35(1):24-35. DOI: 10.12024/jsou.20240904637
摘要:为探究摄食不同饵料(冰鲜鱼、膨化饲料和粉状饲料)对菊黄东方鲀(Takifugu flavidus)生长、胃排空率及胃排空过程消化酶活性变化的影响,进行了为期60 d的室内生长实验,每组设置3个重复,每个重复30尾菊黄东方鲀幼鱼,每次投喂时做到饱食投喂。同步进行胃排空率实验,仍设置3个组别,每组3个重复,分别在摄食后0、2、4、6、8、10、12、14和16 h比较摄食不同饵料后胃内容物百分比,同时进行肝脏和肠道组织采样,测定摄食不同饵料后消化酶活性变化。结果表明:(1)自养殖20 d开始至实验结束,粉状饲料组菊黄东方鲀幼鱼的平均体质量均显著(P<0.05)高于膨化饲料组,而粉状饲料组和冰鲜鱼组之间无显著性差异(P>0.05),就摄食率而言膨化饲料组显著最低(P<0.05),而冰鲜鱼组与粉状饲料组之间无显著差异;(2)就摄食不同饵料后胃内容物百分比变化而言,摄食粉状饲料胃排泄速率最快,摄食冰鲜鱼次之,而摄食膨化饲料胃排泄最慢,摄食不同饵料后最优胃排空模型均为平方根模型;(3)就摄食不同饵料50%和80%胃排空理论时间而言,粉状饲料组的胃排空时间均最短,冰鲜鱼组次之,膨化饲料组最长,其中80%胃排空的理论时间分别为10.43、11.29和11.44 h;(4)摄食不同饵料后菊黄东方鲀肝脏中3种消化酶随时间推移整体呈现“M”型变化趋势,肠道中消化酶整体变化呈现先升高后下降的趋势,肠道和肝脏中糜蛋白酶和淀粉酶活性高低与饵料的底物浓度呈正相关关系。综上,膨化饲料硬度高和软化时间长的物理特性可能延缓了鱼体胃排空进程,进而造成摄食率下降,加之膨化饲料蛋白含量低进一步制约了菊黄东方鲀的生长发育。建议继续开展菊黄东方鲀最适蛋白需求的研究,同时进一步优化膨化饲料配方,提升膨化饲料的消化利用效率。
李浩轩,叶正威,张彦娇,刘家豪,马强,卫育良,梁萌青,刘长琳,徐后国
2026, 35(1):36-44. DOI: 10.12024/jsou.20241104710
摘要:为比较野生和养殖绿鳍马面鲀营养成分的异同,以野生绿鳍马面鲀(体长20.0~21.7 cm,体质量120.95~170.66 g)和养殖绿鳍马面鲀(体长21.0~23.4 cm,体质量124.08~184.85 g)各10尾(每尾作为1个独立样本)为研究对象,测定了形体指标、常规营养成分、脂肪酸和氨基酸并进行比较分析。研究表明:养殖组的肝体比和脏体比显著高于野生组,肥满度无显著差异。绿鳍马面鲀肌肉粗蛋白含量在18.5%~20.2%(鲜质量),粗脂肪含量在0.8%~1.1%(鲜质量)。养殖组肌肉的粗蛋白和粗脂肪含量显著高于野生组,水分含量无显著差异;养殖组全鱼和肝脏的灰分含量显著低于野生组。养殖组和野生组全鱼脂肪酸组成相似。肌肉DHA和EPA含量(%总脂肪酸)分别在20.2%~24.7%及11.4%~15.8%;养殖组肌肉中饱和脂肪酸、20:4n-6和DHA含量显著低于野生组,但EPA含量显著高于野生组,长链多不饱和脂肪酸含量以及EPA+DHA含量差异不大。野生和养殖绿鳍马面鲀全鱼和肌肉氨基酸共检测18种,全鱼氨基酸组成类似,但养殖组肌肉必需氨基酸总量显著高于野生组,必需氨基酸中异亮氨酸、亮氨酸、苯丙氨酸及赖氨酸含量养殖组都显著更高。综上所述,绿鳍马面鲀的营养价值较高,以肌肉蛋白、脂肪、EPA含量及必需氨基酸含量评价,养殖绿鳍马面鲀的营养品质要优于野生绿鳍马面鲀。
2026, 35(1):45-56. DOI: 10.12024/jsou.20241104700
摘要:本研究旨在探究黑水虻幼虫粉替代鱼粉对杂交鳜(Siniperca chuatsi ♀ × Siniperca scherzeri ♂)生长性能、生理代谢及肌肉品质的影响。实验以初始体质量为(11.43±0.54)g的杂交鳜幼鱼为投喂对象,利用黑水虻幼虫粉分别替代饲料中0%、10%、20%、30%和40%的鱼粉,配制5组等氮等脂实验饲料。结果表明:(1)黑水虻幼虫粉替代20%鱼粉显著提高了杂交鳜增重率和特定生长率,而当替代比例升至30%及以上时,杂交鳜生长性能显著下降(P<0.05)。(2)组织质构及常规生化显示,20%~40%替代组肝胰脏中粗蛋白及粗脂肪含量显著低于对照组(0%替代组),且40%替代组肌肉胶着性、回复性和咀嚼性显著低于对照组(P<0.05)。(3)血清生化分析显示,甘油三酯和总胆固醇含量随鱼粉替代水平的增加显著降低,而白蛋白含量随鱼粉替代水平的增加显著增加(P<0.05)。(4)杂交鳜血清MDA水平在30%替代组达到最低,且血清LZM酶活在20%替代组达到最高。综上,黑水虻幼虫粉替代20%鱼粉对杂交鳜的生长性能和免疫抗氧化性能有明显的促进作用,而过高的替代比例则会对其生长性能和肌肉品质产生不利影响,故建议杂交鳜饲料中黑水虻幼虫粉替代鱼粉的最适比例为20%左右。
2026, 35(1):57-71. DOI: 10.12024/jsou.20250104765
摘要:为探索不同暂养时间对青鱼表型特征、鱼体健康及肌肉品质的影响,以池塘养殖平均质量为(3.30±0.12)kg的青鱼(Mylopharyngodon piceus)为研究对象,在室内进行28 d暂养,试验期间投喂商用青鱼配合饲料(粗蛋白30.05%),分别检测暂养0(对照组)、7、14、21和28 d青鱼的形体指标、生理生化指标、体色、肌肉的肉色、质构特性、常规营养成分、氨基酸组成、土腥味物质含量及挥发性物质等。结果显示:暂养期间青鱼体色的亮度和白度显著降低(P<0.05),肉色的亮度和白度先下降再上升(P<0.05);暂养14、21和28 d肌肉咀嚼性及弹性显著升高(P<0.05);暂养21 d肌肉中苯丙氨酸含量增加(P<0.05);暂养期间肌肉及肝胰脏土腥味物质含量降低(P<0.05);暂养21 和28 d的肌肉中2-庚酮、1-辛烯-3-醇、2-戊基呋喃等愉悦气味等物质含量增加。与对照组相比,暂养21 和28 d青鱼肝体比及血清甘油三酯含量、高密度脂蛋白胆固醇含量、谷丙转氨酶活性、谷草转氨酶活性和肝胰脏及肌肉丙二醛含量显著降低(P<0.05),总抗氧化能力显著升高(P<0.05)。综上,暂养14 d可以降低青鱼中土腥味物质含量。暂养21 d可以提升青鱼肝胰脏及肌肉抗氧化活性、提高鱼肉弹性及咀嚼性。
刘烊廷,王常安,郭忠宝,王晗雅,王佳豪,陆绍霞,韩世成,刘红柏
2026, 35(1):72-83. DOI: 10.12024/jsou.20241004658
摘要:旨在探究无鱼粉饲料中添加不同水平二肽丙氨酰谷氨酰胺(Ala-Gln)后对施氏鲟(Acipenser schrenckii)幼鱼的生长性能、氨基酸代谢、能量收支的影响。将450尾初始体质量(21.66±1.02)g的施氏鲟幼鱼饲养在循环水养殖车间,随机分为5组(每组3个重复,每个重复30尾)。对照组饲喂基础饲料,试验组饲喂分别添加0、0.25%、0.50%、0.75%、1.00%Ala-Gln的试验饲料,试验期56 d。结果表明:当饲料中添加0.50%~1.00%Ala-Gln时,其末重、肥满度显著高于对照组(P<0.05);饲料中添加0.25%~1.00%Ala-Gln后,施氏鲟生长能G和代谢能R与对照组相比有显著差异(P<0.05);饲料中添加0.75%Ala-Gln后,鱼体的半胱氨酸显著高于其他各组(P<0.05)。饲料中添加0.50%Ala-Gln后,鱼体的甘氨酸含量显著高于其他各组(P<0.05);摄食5 h后,血液中谷氨酰胺和丙氨酸含量显著升高(P<0.05)。饲料中添加0.50%Ala-Gln时,天门冬氨酸含量显著高于其他各组(P<0.05),对其主成分PLA分析表明,影响其血液代谢谱最主要的氨基酸为谷氨酰胺。综上所述,在无鱼粉饲料中添加0.75%~1.00%Ala-Gln可显著提高施氏鲟幼鱼生长性能,可能是因为Ala-Gln吸收后提高了机体谷氨酰胺的含量,从而影响机体代谢促进蛋白质合成。本研究可为Ala-Gln 应用于植物蛋白饲料替代鱼粉对鲟鱼生长性能和相关代谢影响研究提供实际参考。
2026, 35(1):84-95. DOI: 10.12024/jsou.20250404844
摘要:黑斑原鱼兆(Glyptosternum maculatum)是西藏重要的冷水性经济鱼类,为探究野生和养殖黑斑原鱼兆肌肉营养价值差异,以野生、驯养和养殖的黑斑原鱼兆为研究对象,对其肌肉的常规营养成分、氨基酸、脂肪酸进行了测定。结果显示,野生、驯养和养殖黑斑原鱼兆常规营养成分之间存在显著差异(P<0.05);野生鱼的粗脂肪质量分数显著高于驯养鱼和养殖鱼(P<0.05);驯养鱼的粗蛋白质量分数显著高于野生鱼和养殖鱼(P<0.05);养殖鱼的水分质量分数显著高于野生鱼和驯养鱼(P<0.05)。野生、驯养和养殖的黑斑鱼兆原均检测出17种氨基酸,其中养殖鱼和驯养鱼在总氨基酸含量上存在显著差异(P<0.05),养殖鱼最高,驯养鱼最低,且野生鱼、驯养鱼和养殖鱼的总非必需氨基酸含量与总氨基酸含量差异一致。根据AAS和CS标准,野生、驯养和养殖黑斑原??第一限制性氨基酸均为蛋氨酸+胱氨酸,第二限制性氨基酸为缬氨酸。野生鱼饱和脂肪酸总量、单不饱和脂肪酸、多不饱和脂肪酸含量均显著高于驯养鱼和养殖鱼(P<0.05)。其中C12:0、C17:0、C18:3n6w为野生鱼特有脂肪酸,C22:1n9、C24:1n9、C22:2n6为养殖鱼特有脂肪酸,C15:0、C20:0为野生鱼和养殖鱼特有。野生鱼和养殖鱼DHA+EPA含量均显著高于驯养鱼(P<0.05)。综上,野生和养殖黑斑原鱼兆肌肉营养品质高于驯养黑斑原鱼兆,这为黑斑原鱼兆肌肉品质的改善提供了基础数据。
2026, 35(1):96-104. DOI: 10.12024/jsou.20250404845
摘要:为探讨低盐条件下,饲料中添加不同水平的氯化胆碱对凡纳滨对虾(Litopenaeus vannamei)生长、健康和代谢的影响,设定在盐度为3和海水条件下,分别添加2 500、5 000和10 000 mg/kg的氯化胆碱,进行为期8周的养殖实验。结果显示,在低盐环境下,将饲料氯化胆碱添加量从2 500 mg/kg提升至10 000 mg/kg,并未对凡纳滨对虾的生长性能(如增重率、存活率等)产生显著促进作用 (P>0.05)。2 500和5 000 mg/kg氯化胆碱组的凡纳滨对虾粗脂肪含量显著高于10 000 mg/kg组 (P<0.05)。此外,饲料中添加5 000 mg/kg氯化胆碱显著降低了血清和肝胰腺中的葡萄糖含量(P<0.05),而10 000 mg/kg氯化胆碱组显著增强了肝胰腺超氧化物歧化酶活性,提升了抗氧化能力(P<0.05)。同时,高水平氯化胆碱(10 000 mg/kg)显著降低了肝胰腺中的甘油三酯含量(P<0.05)。研究表明,在盐度3条件下,2 500 mg/kg的氯化胆碱添加已能满足凡纳滨对虾的生长需求,而更高剂量的添加(≥5 000 mg/kg)则在调节脂质代谢和增强抗氧化能力方面发挥更显著的作用。这些发现为优化凡纳滨对虾在低盐养殖模式下的营养策略提供了科学依据。
2026, 35(1):105-118. DOI: 10.12024/jsou.20241204730
摘要:基于2014—2018年及2021—2024年某水产养殖合作社凡纳滨对虾(Litopenaeus vannamei)养殖池塘的水质检测数据,选取总氮(TN)、总磷(TP)、活性磷(AP)、硝态氮(NO3--N)、亚硝态氮(NO2--N)、氨氮(TAN)、化学需氧量(COD)、温度(T)和pH等在内的关键水质参数,构建了基于时域卷积网络(Temporal convolutional network,TCN)和门控循环单元(Gate recurrent unit,GRU)的TAN和COD水质预测模型。首先搭建FC-TCN-GRU的混合模型,即采用TCN对数据特征进行提取和降维处理,再将处理后的数据输入GRU模型,最后通过全连接层(Fully connected layers,FC)映射为预测结果。对搭建好的FC-TCN-GRU模型进行评估,其绝对误差(MAE)、均方误差(MSE)和决定系数(R2)在对TAN预测中分别为0.255、0.089和0.861;在对COD的预测中分别为1.750、4.840和0.332。将模型与PCA-LSTM、基本LSTM和基本GRU模型对TAN和COD的预测结果进行比较,结果显示:FC-TCN-GRU模型对TAN和COD指标的预测精度优于其他3种模型,在TAN预测中表现出色,但对COD的预测效果尚有提升空间。
2026, 35(1):119-129. DOI: 10.12024/jsou.20241204744
摘要:舟山渔场是中国东南沿海的重要渔业资源区,面临海洋环境污染物的潜在威胁。为评估水生生物中多氯联苯(Polychlorinated biphenyls,PCBs)的含量、组成特征及其影响因素并分析健康风险,于2023年3月至6月采集舟山渔场37种水生生物为研究对象,采用GC-MS/MS检测其肌肉中41种PCBs同系物的含量和组成特征。通过单因素分析探讨PCBs含量的影响因素,并结合毒性当量(Toxic equivalent quantity,TEQ)和健康风险评估模型评估摄食风险。结果显示,∑41PCBs含量为5.70~338.17 ng/g 脂重(lw),以五氯和六氯化合物为主,7种指示性PCBs含量与总PCBs含量呈显著线性相关,PCB 138和PCB 153为主要单体。不同生物类别间的PCB含量和组成差异不显著,其单体含量与logKow值呈抛物线关系(拐点约为7),与脂质含量呈负相关,与体长和体质量无显著相关性。PCBs总毒性当量为ND~9.42×10-5 ng TEQ/g,非致癌风险(HI<1)和致癌风险(CRI<10-4)均处于可接受范围。本研究为舟山渔场水生生物资源保护及人类健康风险管理提供了重要科学依据。
2026, 35(1):130-143. DOI: 10.12024/jsou.20250104762
摘要:为探究北部湾自然环境水产品中有机磷酸酯(OPEs)的富集特征和食用风险,在夏季和冬季于北部湾近岸和河口区共采集了6种65个典型水产品,采用气相色谱质谱联用仪测定了水产品中的11种常见OPEs的含量和组成特征。结果显示,11种OPEs在冬季和夏季水产品中全部被检出,且在冬季水产品中的浓度[(127±101)ng/g dw]显著高于夏季[(38.5±28.6)ng/g dw]。不同季节鱼类中∑11OPEs的污染水平低于底栖动物。水产品中OPEs的组成特征一致,其中磷酸三(2-氯丙基)酯(TCIPPs)和磷酸三(2-氯乙基)酯(TCEP)为主要检出物质。生物富集系数结果表明,整体上北部湾水产品对氯代OPEs(Cl-OPEs)的富集潜力高于烷基OPEs(Alkyl-OPEs),且磷酸三(1,3-二氯异丙基)酯(TDCIPP)和磷酸三己酯(THP)在夏季和冬季部分水产品中具有明显富集性,其中生物的代谢能力、食性和栖息环境是重要影响因素。食用风险评估显示,不同年龄和不同性别人群通过食用北部湾自然环境水产品暴露于OPEs的健康风险熵值(Qh)均低于阈值1,表明食用风险较低。本研究不仅丰富了对北部湾自然环境水产品中OPEs污染现状的认识,也为该区域的生态环境保护和食品安全管理提供了重要的科学依据。
2026, 35(1):144-157. DOI: 10.12024/jsou.20250204785
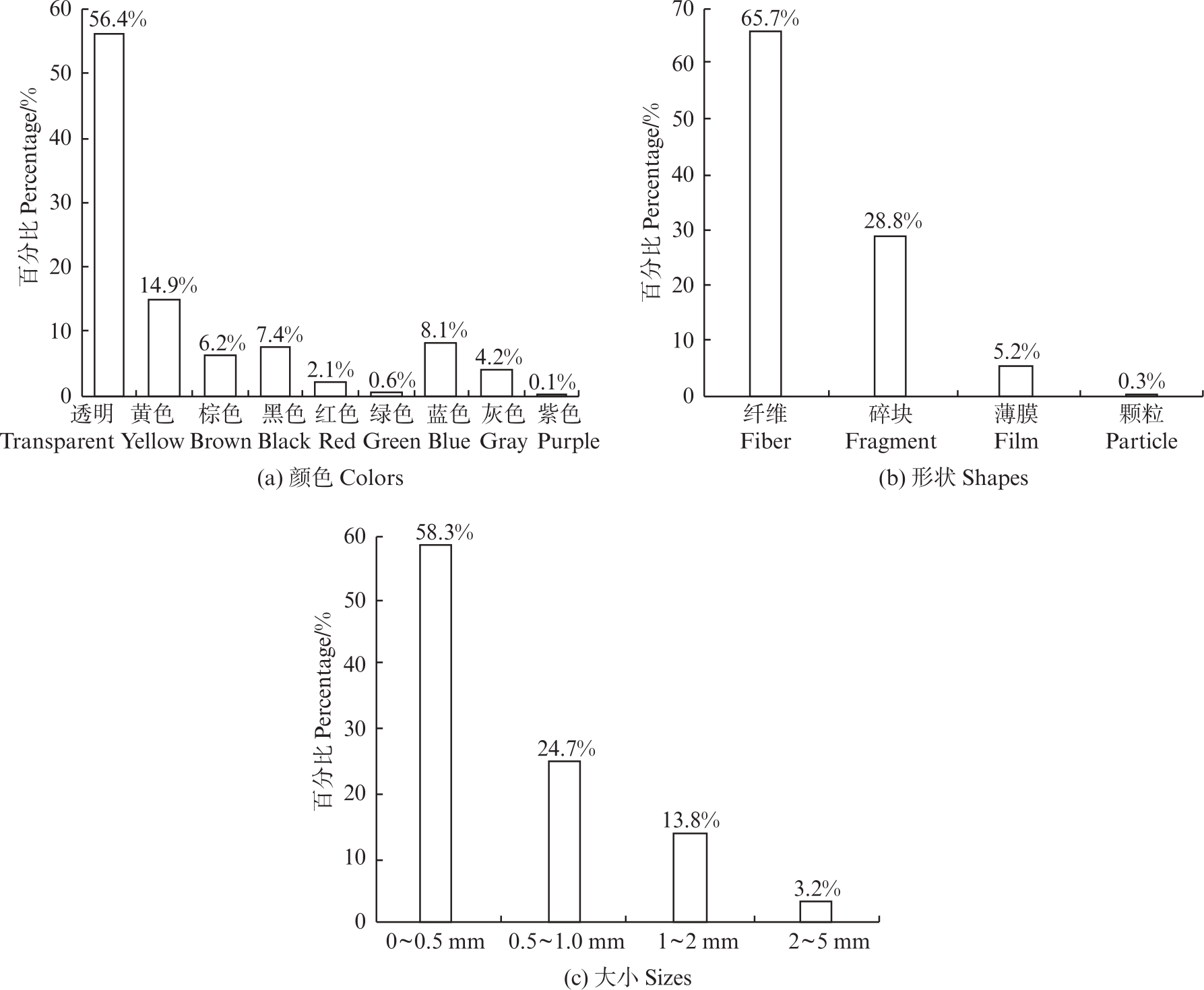
摘要:为探明长江河口鱼类幼体微塑料(Microplastic,MPs)污染情况,采集10种共508尾长江口幼鱼,对其消化道内容物、消化道壁及鳃组织进行消解和提取微塑料并观察统计,结合幼鱼食性差异(滤食性、肉食性、杂食性)及禁渔前后时间节点,采用单因素置换多元方差分析数据。结果显示,99%的幼鱼个体都有微塑料检出,平均丰度为(10.13±7.23)个/尾,组织间分布呈消化道内容物[(4.10±4.09)个/尾]>鳃组织[(3.12±2.40)个/尾]>消化道壁[(2.89±2.61)个/尾]。纤维状(65.7%)、透明色(56.4%)及<0.5 mm粒径(58.3%)的微塑料占比最高。滤食性幼鱼微塑料丰度显著高于其他食性个体(P<0.05)。长江禁渔后,刀鲚(Coilia nasus)幼鱼微塑料总丰度极显著降低至(5.20±2.53)个/尾(P<0.01),<0.5 mm透明纤维状微塑料占比下降,<1 mm粒径仍占大多数(76%)。研究表明, 长江口幼鱼普遍存在微塑料污染,滤食性鱼类更易富集微塑料。长江禁渔政策显著降低了刀鲚幼鱼体内的微塑料污染,揭示长江口水体环境和鱼类幼体中的微塑料污染程度呈下降趋势。本研究可为长江口流域微塑料污染状况研究提供数据资料支持。
2026, 35(1):158-172. DOI: 10.12024/jsou.20250204776
摘要:鄱阳湖水系作为长江中下游关键生态屏障,研究其浮游植物群落在极端气候与人类活动双重胁迫下的响应机制,对流域生态保护极为重要。本研究聚焦2022年极端干旱至2023年水文恢复期,鄱阳湖水系和长江干流九江市段重要水生生物保护区的浮游植物优势种动态特征,通过枯水期与丰水期的18个采样点调查,运用生态位宽度、方差比率法及种间联结性分析,初步探究水文波动下浮游植物群落稳定性维持机制。结果表明:(1)研究共鉴定出浮游植物7门161种,优势种3门13种,硅藻门(颗粒沟链藻Aulacoseira granulata、尖肘形藻Ulnaria acus)始终占主导;(2)2022年极端枯水期浮游植物生态位重叠值显著升高,宽生态位泛化种通过资源互补形成稳定共生体系,群落整体显著正关联;(3)颗粒沟链藻与尖肘形藻的持续优势源于形态功能和“浮游-底栖”转换的生态适应性,其生态位分化有效缓解了高重叠种对舟形藻属未定种(Navicula spp.)(Oik = 0.93)的竞争压力;(4)丰水期生态位宽度均值下降且特化种比例增加,表明水文的恢复条件使群落向高稳定性的功能结构演替。本研究首次探究了极端干旱下,长江中游水生生物保护区浮游植物生态位分化与种间协同机制,为鄱阳湖和长江水生态保护提供基础数据,并为极端气候下的淡水生态系统管理提供理论支撑。
2026, 35(1):173-186. DOI: 10.12024/jsou.20241204738
摘要:更新鄱阳湖鱼类物种名录对于研究和保护鄱阳湖鱼类多样性具有重要意义。基于连续17年(2006—2022年)对鄱阳湖鱼类物种的调查数据,系统考证江西省水产科学研究所馆藏标本,并结合相关历史文献,参照最新鱼类分类学研究进展,更新了鄱阳湖鱼类名录。结果表明,鄱阳湖鱼类共有128种,隶属于14目35科78属,其中本地种124种,外来物种4种。鲤形目(Cypriniformes)鲴科(Xenocyprididae)物种数最多,其次是鲤形目科(Gobionidae)和鲇形目(Siluriformes)鲿科(Bagridae)。更新后的名录中,21个有效种发生了分类名称的变更;历史记录存在而本更新名录未记录的物种名有98个,包含同物异名59个,分类变更2个以及错误鉴定37个。本研究更新的鄱阳湖鱼类物种名录,可为今后鄱阳湖鱼类研究和多样性保护提供参考依据。
2026, 35(1):187-201. DOI: 10.12024/jsou.20250504870
摘要:为探明鄱阳湖通江水道春夏季仔稚鱼资源现状,于2024年春季(5—6月)和夏季(7—8月)在鄱阳湖通江水道姑塘、火焰山、都昌3个水域设置的27个站位点采用浅水Ⅰ型浮游生物网进行表层水平拖网调查。春夏两季共采集到仔稚鱼24 603尾,隶属7目12科41种。优势种为贝氏(Hemiculter bleekeri)、真吻虾虎鱼(Rhinogobius similis)、(Hemiculter leucisculus)和间下(Hyporhamphus intermedius),占总个体数的87.86%。群落结构方面,下游姑塘水域多样性高于其他两个水域;春季多样性和丰富度指数高于夏季,均匀度指数反之。仔稚鱼主要在春季大量出现,6月总密度最高,贝氏为第一优势种。环境因子随着时间变化显著,冗余分析表明水温、pH和溶解氧是影响仔稚鱼分布的最主要环境因子。刀鲚(Coilia nasus)和间下的密度与水温、pH呈显著正相关,表明适宜温度可以促进其性腺发育,弱碱性的水环境有利于鱼类的生长繁殖;寡鳞飘鱼(Pseudolaubuca engraulis)和真吻虾虎鱼的密度与溶解氧呈正相关,反映充足溶解氧有利于鱼类觅食和繁殖活动。研究表明鄱阳湖通江水道仔稚鱼物种组成存在季节差异,环境因子对优势种的分布影响显著。
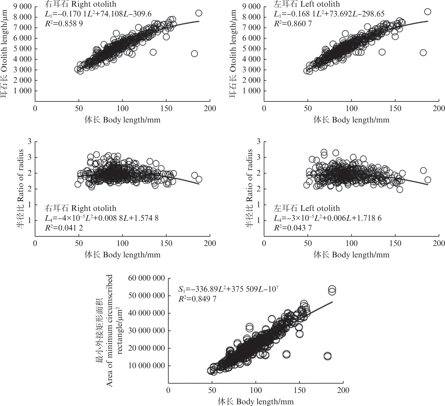
2026, 35(1):202-212. DOI: 10.12024/jsou.20250404858
摘要:为了探究长江口棘头梅童鱼(Collichthys lucidus)耳石的形态特征及其与个体生长指标(体长、体质量)之间的关系,于2022年6月至2023年5月期间采集棘头梅童鱼样本共409尾,系统测量其左右耳石的长度、宽度、周长、面积、最大半径、最小半径、最小外接矩形面积、长宽比与半径比等9项形态参数,并采用主成分分析(PCA)提取形态变异的关键指标。随后,通过指数、线性、对数、幂函数及多项式函数对耳石形态指标与体长、体质量之间的关系进行拟合分析。结果显示,左右耳石在主要形态参数方面高度一致,但在耳石长L1、长宽比L3、最小半径r、半径比L4和周长P1上存在显著差异(P<0.05)。PCA结果表明,耳石长度、最小外接矩形面积和半径比为主要影响耳石形态的指标,其中最小外接矩形面积在左右耳石间差异不显著(P>0.05),因此合并数据进行拟合。拟合分析中,耳石长度与最小外接矩形面积和体长之间呈显著二次多项式关系(R2>0.85,P<0.05),与体质量之间呈幂函数关系(R2>0.91)。耳石半径比与生长指标的相关性不显著。研究发现耳石长度与最小外接矩形面积可作为棘头梅童鱼个体生长的重要预测指标。本研究为深入理解耳石形态与鱼体生长之间的关系提供了理论支持,可为渔业资源评估与物种管理提供科学依据。
赵子滔,李敏,吴庭健,张梅菁,沈茜妤,马绍祖,刘金林,何培民
2026, 35(1):213-227. DOI: 10.12024/jsou.20230704281
摘要:为探究上海市滨海湿地碱蓬属(Suaeda)植物种类及其遗传多样性,调查和研究了上海市浦东新区南汇东滩、奉贤区海滩、崇明区东滩等3个滨海湿地11个站位采集的碱蓬属植物种类资源及其遗传多样性。结果表明:经形态学鉴定和基于ITS和matK序列条形码分析的分子鉴定,上海市滨海湿地碱蓬属植物为盐地碱蓬和碱蓬2个种。仅在崇明岛发现碱蓬,7株样品之间遗传距离为0,表明该群体与外界没有基因交流。崇明、浦东、奉贤等地盐地碱蓬在ITS和matK序列上均存在2~3个单倍型,遗传距离D<0.05,说明大多数为群体内部遗传变异。奉贤群体的遗传多样性最低(Hd=0.419±0.113,Pi=0.000 9和Hd=0.133±0.112,Pi=0.000 4),浦东群体遗传多样性最高(Hd=0.629±0.086,Pi=0.001 5和Hd=0.475±0.141,Pi=0.004 3)。浦东与崇明、奉贤的群体间存在中度分化(0.05<FST<0.15, P<0.05; Nm>1),崇明与奉贤的群体间存在高度分化(0.15<FST<0.25, P<0.05; Nm<1)。本研究为上海市滨海湿地碱蓬属植物保护和种群恢复奠定了坚实基础。
2026, 35(1):228-241. DOI: 10.12024/jsou.20241104711
摘要:为提高水域鱼类资源监测的自动化程度和实时分析能力,结合YOLOv8X(You only look once version 8 - extra large)目标检测模型、ByteTrack(ByteTrack: a strong baseline for multi-object tracking)算法与双频识别声呐(Dual-frequency identification sonar,DIDSON)数据,开发了1种快速、准确的鱼类目标识别与计数方法。实验结果表明,YOLOv8X与ByteTrack联合方法与传统的Echoview软件识别精度接近(偏差率仅为1.36%),但处理时间显著减少(单条测线从约30 min减少至约3 min),表现出较强的实时处理能力和泛化性能。同时,通过重复实验验证了该方法的稳定性,确认其在不同场景中的可靠性。本研究方法与成果为水域鱼类资源的自动化监测提供了可靠的技术支持,可广泛地应用于大范围高频次的渔业资源监测与管理工作中。
2026, 35(1):242-253. DOI: 10.12024/jsou.20250304794
摘要:为了解决东南太平洋长鳍金枪鱼(Thunnus alalunga)资源评估长期依赖日韩等国的捕捞数据导致的偏差问题,以我国延绳钓渔业数据作为基础数据构建了资源丰度指数。基于2013—2022年10年间我国金枪鱼延绳钓渔业捕捞数据及海洋环境参数,利用广义加性模型(Generalized additive models, GAM)对单位捕捞努力量渔获量(Catch per unit effort, CPUE)进行标准化分析,量化纬度、经度、年份、月份、环境因子及交互作用等的影响,并通过普通最小二乘法回归模型(Ordinary least squares, OLS)对比了我国与日本延绳钓渔业的标准化CPUE变化趋势。结果表明,GAM模型最大偏差解释率为69.8%,纬度对CPUE的贡献最为显著。资源丰度较高的区域为20°S~30°S,100°W~120°W,资源密度最高的年份为2016年,最高的月份为4—8月。标准化CPUE与名义CPUE趋势大致相同且季节性波动明显。除2020年以外,标准化CPUE均低于名义CPUE。在大多数年份,基于我国渔业数据的标准化CPUE与基于日本延绳钓渔业数据的标准化CPUE变化趋势相似。本研究为东南太平洋长鳍金枪鱼资源评估提供了新的资源丰度指数信息,对进一步提高资源评估的可靠性具有积极的参考价值。
2026, 35(1):254-269. DOI: 10.12024/jsou.20250304795
摘要:为了解决水下图像因模糊和色偏导致的目标检测精度下降问题,提升复杂水下环境中鱿鱼检测的准确性和鲁棒性,本研究提出一种基于图像增强的水下鱿鱼检测算法DUIE-YOLO,采用“先增强后检测”的级联框架,由DUIE-Net增强模块和YOLOv8-HD检测模块组成。DUIE-Net模块通过颜色校正、多尺度特征融合、特征恢复与增强及去雾优化,显著提升图像质量;YOLOv8-HD检测模块结合FasterNet网络、小目标检测头、CoordAttention注意力机制及ShapeIoU损失函数,优化特征提取能力与小目标检测精度。实验结果表明,DUIE-YOLO相比原始YOLOv8n在Precision、Recall、F1-score和mAP等4个关键指标上分别提升4.2%、6.8%、5.7%和5.5%。联合实验结果显示,DUIE-Net与YOLOv8-HD的组合相比基线(Raw+YOLOv8n),mAP提升40.3%,Precision提升10.5%,Recall提升53%,F1-score提升31%,证明该算法具有显著的级联优化效果。研究表明,DUIE-YOLO通过图像增强与检测模块的协同优化,有效解决了水下图像质量差导致的检测性能下降问题。本研究为复杂水下环境中的目标识别提供了高精度的解决方案,对海洋生物监测与资源开发具有重要应用价值。
涂法宪,黄志勇,石小涛,张沈威,朱佳志,梁栋鑫,姚博远,常剑波
2026, 35(1):270-278. DOI: 10.12024/jsou.20250304796
摘要:为探究繁殖前期的中华鲟(Acipenser sinensis)在天然水域产卵巢内的趋触行为对流速的响应特征,本研究于2024年11月在长江夹岸水域布设产卵巢,通过推流泵调控流速以形成不同的流速环境,并对不同流速条件下的中华鲟趋触行为强度进行了统计与分析。结果显示:(1)中等流速(0.12~0.20 m/s)条件下趋触行为强度显著高于自然流速(0.05~0.15 m/s,P<0.01),各区域内中华鲟趋触行为强度增幅均达到50%以上,其中中低流速区域B与高流速A内的趋触行为强度最高,分别达到(50.10±2.93)次/h与(47.80±5.61)次/h,而当流速过高(>1.0 m/s)时,中华鲟的趋触行为强度有所降低,其中高流速区降幅最大达到28.0%。(2)中低流速区B的趋触行为发生比例始终最高,随着流速的增加,由初始流速下的29.1%逐步增加至35.0%,且在高流速条件下显著高于其他区域(P<0.01)。研究表明,流速对中华鲟趋触行为存在非线性调控作用,流速增量为0.02~0.10 m/s时,可最大化促进其趋触行为,同时繁殖前期中华鲟存在自主选择水流的行为,其趋触行为更加偏好于在中低流速区域进行,为优化中华鲟产卵环境流速调控,修复天然产卵场生境提供了关键理论依据。
2026, 35(1):279-291. DOI: 10.12024/jsou.20250504865
摘要:为探究南极磷虾(Euphausia superba)桁杆拖网内衬网的最佳装配比例,实现绿色低碳捕捞目标,以南极磷虾专业捕捞加工船“深蓝”号采用的南极磷虾桁杆拖网为研究对象,基于修正的田内准则制作了大尺度比为15的桁杆拖网模型网,并在循环动水槽中开展试验,探究内衬网比例(100%、90%、80%)和重锤质量(0.5、1.0、1.5、2.0 kg)对桁杆拖网模型网整体形态、阻力、能耗系数、稳定性的影响。结果表明:(1)当内衬网比例减少,模型网阻力和能耗系数呈下降趋势,网口高度无明显变化;在相同条件下,当内衬网比例减少20%时,模型网阻力减少12.02%,能耗系数降低5.66%。(2)当流速增加,模型网网口高度降低,网具整体收缩,阻力增大。(3)重锤质量的增加与模型网阻力、网口高度和能耗系数呈正相关关系。(4)减少内衬网比例,增加重锤质量,模型网阻力振荡趋于稳定,振幅减小。适当减少内衬网比例并增加重锤质量,有助于降低拖网阻力和能耗。本研究结果可为南极磷虾桁杆拖网网具优化设计提供基础科学参考。
2026, 35(1):292-304. DOI: 10.12024/jsou.20250404855
摘要:为了分析中东太平洋FAO77渔区渔业生态系统结构的长期变化特征,本研究基于1950—2019年中东太平洋FAO77渔区的渔业产量数据,通过主成分分析(Principal component analysis, PCA)和序列稳态转换分析(Sequential t-test analysis of regime shifts, STARS)等多元统计分析方法,识别了该生态系统功能组、适温组及代表性指数的稳态转换时间节点。结果显示,中东太平洋渔业生态系统结构呈现显著的年代际变化,稳态转换节点主要集中在20世纪50年代后期和70年代中期。20世纪50年代后期发生的稳态转换表现为底栖鱼类、岩礁性鱼类、软骨鱼类及无脊椎类等功能组产量的增加,同时伴随暖水种捕捞量的上升,并导致生态系统的平均营养级(Mean trophic level, MTL)和物种均匀度(Species evenness,EVE)的提高,反映了渔业开发初期对多样化资源的利用。20世纪70年代中期则出现了另一次关键转变,此时中上层鱼类和软骨鱼类产量显著增加,同时冷水种捕捞量有所上升,但生态系统的平均营养级、平均适温(Mean suitable temperature,MST)和物种均匀度却呈下降趋势。研究表明,中东太平洋渔业生态系统结构在过去70年间经历了2次主要的稳态转换,气候变化与人类捕捞活动的交互作用是塑造其演变轨迹的关键驱动力。本研究为解析中东太平洋渔业生态系统动态及制定适应性管理措施提供了科学依据。
2026, 35(1):305-323. DOI: 10.12024/jsou.20250304812
摘要:海洋中尺度涡在物质输运、能量交换和气候变率调节等方面有至关重要的作用。为了理解西北太平洋海域活跃的中尺度涡过程,认识该海域中尺度涡对其上部海气参数的影响。本文基于卫星高度计和散射计资料,利用涡旋识别追踪和复合分析方法,对2006—2009年西北太平洋30 000+中尺度暖涡和冷涡上的海气参数异常特征进行研究。结果表明,暖涡(冷涡)上分别存在正(负)海温、海表风速、感热通量和潜热通量异常,正(负)异常极值分别为1.64(-1.58)℃、0.72(-0.58)m/s、19.60(-39.25)W/m2和40.98(-55.03)W/m2;暖涡(冷涡)引起的海表风速、感热通量和潜热通量异常与海温异常存在显著的线性耦合,最大线性耦合系数分别为0.49(0.50)m/(s·℃)、19.57(20.04)W/(m2·℃)和33.61(32.96)W/(m2·℃);暖涡(冷涡)上的海气参数异常及耦合特征存在区域性和季节性差异,主要受背景海温梯度和风速影响,通过调制垂向热输运效率,改变海表面粗糙度进而影响海气参数的异常。此外,Ekman抽吸、混合层调节及边界层稳定性等多个过程协同作用也是可能的影响机制,未来需通过高精度区域耦合模型量化各种影响机制的相对贡献。本研究可为中尺度涡海气耦合以及中尺度涡影响下的海气参数预报提供科学依据和参考。
2026, 35(1):324-335. DOI: 10.12024/jsou.20250404818
摘要:为了验证全球导航卫星系统反射(Global navigation satellite system reflectometry, GNSS-R)技术在北极临岸地区土壤湿度监测中的可靠性,采用GNSS-R技术开展了夏季阿拉斯加巴罗(Barrow)站的土壤湿度反演研究,并分别以美国能源部的ARM计划和SMAP中的土壤湿度为参考值,分析了2015—2023年巴罗站土壤湿度的变化特征。结果显示,2015—2023年GNSS-R数据与SMAP和ARM土壤湿度数据在长期趋势上具有较好的一致性,年际结果间的相关性分别为0.54~0.76和0.54~0.81,均方根误差分别为0.02~0.06和0.01~0.06。在2015—2023年的6—9月,GNSS-R反演的土壤湿度在中高湿度范围(SMAP的0.4~0.6 cm3/cm3,ARM的0.20~0.35 g/g)下,与SMAP和ARM观测结果的一致性最佳。在低湿度和高湿度条件下,GNSS-R反演结果虽然能够捕捉土壤湿度的上升趋势,但与SMAP和ARM存在一定的偏差,这可能与夏季降雨增加有关。本研究证实了GNSS-R技术在北极沿岸反演土壤湿度的可靠性。
您是本站第 访问者
通信地址:上海市浦东新区沪城环路999号
邮编:201306 传真:021-61900229
电话:021-61900229 E-mail:xuebao@shou.edu.cn
技术支持:北京勤云科技发展有限公司
上海海洋大学学报 ® 2026 网站版权所有 ICP:京ICP备09084417号-36
